AARS2 Antibody
-
中文名稱:AARS2兔多克隆抗體
-
貨號:CSB-PA944776
-
規格:¥1100
-
圖片:
-
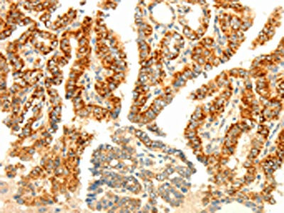
The image on the left is immunohistochemistry of paraffin-embedded Human thyroid cancer tissue using CSB-PA944776(AARS2 Antibody) at dilution 1/80, on the right is treated with fusion protein. (Original magnification: ×200)
-
The image on the left is immunohistochemistry of paraffin-embedded Human liver cancer tissue using CSB-PA944776(AARS2 Antibody) at dilution 1/80, on the right is treated with fusion protein. (Original magnification: ×200)
-
Gel: 8%SDS-PAGE, Lysate: 40 μg, Lane: SP20 cells, Primary antibody: CSB-PA944776(AARS2 Antibody) at dilution 1/1200, Secondary antibody: Goat anti rabbit IgG at 1/8000 dilution, Exposure time: 15 seconds
-
-
其他:
產品詳情
-
Uniprot No.:
-
基因名:
-
別名:AARS2 antibody; AARSL antibody; KIAA1270 antibody; Alanine--tRNA ligase antibody; mitochondrial antibody; EC 6.1.1.7 antibody; Alanyl-tRNA synthetase antibody; AlaRS antibody
-
宿主:Rabbit
-
反應種屬:Human,Mouse,Rat
-
免疫原:Fusion protein of Human AARS2
-
免疫原種屬:Homo sapiens (Human)
-
標記方式:Non-conjugated
-
抗體亞型:IgG
-
純化方式:Antigen affinity purification
-
濃度:It differs from different batches. Please contact us to confirm it.
-
保存緩沖液:-20°C, pH7.4 PBS, 0.05% NaN3, 40% Glycerol
-
產品提供形式:Liquid
-
應用范圍:ELISA,WB,IHC
-
推薦稀釋比:
Application Recommended Dilution ELISA 1:2000-1:10000 WB 1:1000-1:5000 IHC 1:100-1:300 -
Protocols:
-
儲存條件:Upon receipt, store at -20°C or -80°C. Avoid repeated freeze.
-
貨期:Basically, we can dispatch the products out in 1-3 working days after receiving your orders. Delivery time maybe differs from different purchasing way or location, please kindly consult your local distributors for specific delivery time.
-
用途:For Research Use Only. Not for use in diagnostic or therapeutic procedures.
相關產品
靶點詳情
-
功能:Catalyzes the attachment of alanine to tRNA(Ala) in a two-step reaction: alanine is first activated by ATP to form Ala-AMP and then transferred to the acceptor end of tRNA(Ala). Also edits incorrectly charged tRNA(Ala) via its editing domain.
-
基因功能參考文獻:
- Two AARS2 variants, (c.2872C > T) and (c.1774C > T), were identified in a child with cardiomyopathy with early-onset brain disease. PMID: 29440775
- Three patients with ovarioleukodystrophy, carrying AARS2 compound heterozygous mutations have been found. PMID: 29749055
- Missense variants in the AARS2 gene are the likely cause of the retinopathy and optic atrophy in this patient. This finding expands the phenotypic spectrum of the AARS2 gene. PMID: 28820624
- Mutations in AARS2 in a Series of CSF1R-Negative Patients With Adult-Onset Leukoencephalopathy With Axonal Spheroids and Pigmented Glia. PMID: 27749956
- This paper documented a new, nonsense AARS2 gene mutation (c.578T>G, p.Leu193*) and a known missense mutation (c.595C>T, p.Arg199Cys) associated with leukoencephalopathy in a male patient. PMID: 27734837
- we describe a Japanese woman with novel compound heterozygous mutations in AARS2, the first report of leukodystrophy caused by AARS2 mutations in Asia. PMID: 27251004
- A new phenotype caused by AARS2 mutations is characterized by leukoencephalopathy and ovarian failure in female patients, indicating that the phenotypic spectrum associated with AARS2 variants is much wider than previously reported. PMID: 24808023
- Mutations in AARS2 found in lethal mitochondrial myopathy PMID: 22277967
顯示更多
收起更多
-
相關疾?。?/div>Combined oxidative phosphorylation deficiency 8 (COXPD8); Leukoencephalopathy, progressive, with ovarian failure (LKENP)亞細胞定位:Mitochondrion.蛋白家族:Class-II aminoacyl-tRNA synthetase family數據庫鏈接:
Most popular with customers
-
YWHAB Recombinant Monoclonal Antibody
Applications: ELISA, WB, IHC, IF, FC
Species Reactivity: Human, Mouse, Rat
-
Phospho-YAP1 (S127) Recombinant Monoclonal Antibody
Applications: ELISA, WB, IHC
Species Reactivity: Human
-
-
-
-
-
-















