AAAS Antibody
-
中文名稱:AAAS兔多克隆抗體
-
貨號:CSB-PA798772
-
規格:¥1100
-
圖片:
-
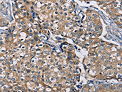
The image on the left is immunohistochemistry of paraffin-embedded Human breast cancer tissue using CSB-PA798772(AAAS Antibody) at dilution 1/20, on the right is treated with fusion protein. (Original magnification: ×200)
-
The image on the left is immunohistochemistry of paraffin-embedded Human brain tissue using CSB-PA798772(AAAS Antibody) at dilution 1/20, on the right is treated with fusion protein. (Original magnification: ×200)
-
-
其他:
產品詳情
-
Uniprot No.:
-
基因名:AAAS
-
別名:AAAS antibody; ADRACALA antibody; GL003Aladin antibody; Adracalin antibody
-
宿主:Rabbit
-
反應種屬:Human,Mouse
-
免疫原:Fusion protein of Human AAAS
-
免疫原種屬:Homo sapiens (Human)
-
標記方式:Non-conjugated
-
抗體亞型:IgG
-
純化方式:Antigen affinity purification
-
濃度:It differs from different batches. Please contact us to confirm it.
-
保存緩沖液:-20°C, pH7.4 PBS, 0.05% NaN3, 40% Glycerol
-
產品提供形式:Liquid
-
應用范圍:ELISA,IHC
-
推薦稀釋比:
Application Recommended Dilution ELISA 1:1000-1:2000 IHC 1:25-1:100 -
Protocols:
-
儲存條件:Upon receipt, store at -20°C or -80°C. Avoid repeated freeze.
-
貨期:Basically, we can dispatch the products out in 1-3 working days after receiving your orders. Delivery time maybe differs from different purchasing way or location, please kindly consult your local distributors for specific delivery time.
-
用途:For Research Use Only. Not for use in diagnostic or therapeutic procedures.
相關產品
靶點詳情
-
功能:Plays a role in the normal development of the peripheral and central nervous system. Required for the correct localization of aurora kinase AURKA and the microtubule minus end-binding protein NUMA1 as well as a subset of AURKA targets which ensures proper spindle formation and timely chromosome alignment.
-
基因功能參考文獻:
- Mutation in AAAS gene is associated with triple A syndrome. PMID: 29874194
- Clinical and genetic characteristics of six patients with triple A syndrome and AAAS mutations are described. PMID: 29255950
- Nine different AAAS mutations were found, including one new mutation: c.755G>C, p.(Trp252Ser) in a French cohort of Triple A syndrome patients. PMID: 29237697
- This study demonstrated that a single splicing mutation affects the AAAS transcripts and consequently the ALADIN protein structure and function. PMID: 27414811
- Triple A syndrome with a novel indel mutation in the AAAS gene and delayed puberty. PMID: 25781531
- down-regulating ALADIN results in decreased oxidative stress response leading to alteration in steroidogenesis, highlighting our knock-down cell model as an important in-vitro tool for studying the adrenal phenotype in triple A syndrome PMID: 25867024
- Data suggest ALADIN is involved in resistance to oxidative stress in adrenocortical cells/neurons; ALADIN knockdown down-regulates StAR (steroidogenic acute regulatory protein) and P45011beta (cytochrome P450 family 11 subfamily B polypeptide 1). PMID: 23825130
- The compromising c.43C>A mutation is predicted to cause a p.Gln15Lys amino acid substitution in the ALADIN protein. PMID: 23073554
- identification of two novel mutations in the AAAS gene associated with achalasia adrenocortical insufficiency alacrimia syndrome PMID: 21565631
- Sequencing of the AAAS gene detected a compound heterozygous mutation consisting of a novel mutation p.Ser296Tyr (c.887C>A) in exon 9 and a previously described p.Ser263Pro (c.787T>C) missense mutation in exon 8 in both siblings triple A syndrome. PMID: 20931227
- In all children with mutation in AAAS gene, regular follow up of adrenal function is necessary to avoid adrenal crisis and start substitution therapy as soon as adrenal insufficiency is noted. PMID: 20499090
- Study broadened the allelic and phenotypic spectrum of Allgrove syndrome due to AAAS mutations; the recurrence of the Leu469Pro mutation highlights a possible major role for this alteration in the Italian population. PMID: 20447142
- ALADIN interact with FTH1 and FTH1 nuclear translocation is enhanced when ALADIN is coexpressed. PMID: 19855093
- a homozygous G -->A transition in exon 9 of the newly identified AAAS gene, resulting in a stop codon (W295X) and predicting a truncated protein with loss of function PMID: 11815731
- plays a cell type-specific role in regulating nucleocytoplasmic transport and that this function is essential for the proper maintenance andor development of certain tissues; NPC targeting is essential for the function of ALADIN PMID: 12730363
- myoclonus and generalized digestive dysmotility in triple a syndrome is connected to AAAS gene mutation PMID: 15022193
- In addition to known ophthalmic manifestations, triple-A syndrome can present with accommodative dysregulation and ocular signs of autonomic dysfunction. PMID: 15217518
- Further studies have to investigate the role of ALADIN at NPCs and to identify interacting proteins. Functional analyses of ALADIN may permit further understanding of its role for adrenocortical function and neurodevelopment. PMID: 15666842
- Widespread but not ubiquitous or uniform expression of AAAS mRNA in the developing rat embryo. PMID: 15680696
- Data do not support a pathogenetic role for common AAAS gene mutations in patients with idiopathic achalasia as seen in Allgrove syndrome. PMID: 15843079
- novel splice variant AAAS-v2 encodes a 513-amino acid polypeptide, which contains three WD40 domains; AAAS-v2 and AAAS-v1 were ubiquitously detected in human tissues PMID: 16022285
- 3 subjects with classic AAAS did not have mutations in AAAS gene on both alleles. This supports the notion of genetic heterogeneity for this disorder, although other genetic mechanisms cannot be excluded. PMID: 16098009
- The mutation of the AAAS gene is a novel mutation and this case adds to the clinical and molecular spectrum of triple A syndrome and may provide a new insight into the functions of AAAS gene. PMID: 16543750
- With transfection experiments, we analyzed the cellular localization of the wild-type and 17 natural mutant variants (9 missense, 5 nonsense, 3 frameshift mutations) of ALADIN. PMID: 16609705
- novel homozygous mutation within intron 5 (IVS5+1G-->A) illustrates the heterogenous nature and the intrafamilial phenotypic variability of Allgrove syndrome PMID: 16938764
- Report a case of adult onset Allgrove syndrome had no mutation in the ALADIN gene on chromosome 12q13. PMID: 18175081
- The prognosis of patients with triple A syndrome depends on the identification and treatment of adrenal insufficiency. PMID: 19011813
- AAAS gene analysis demonstrated a homozygous A to G mutation at nucleotide position 122 in exon 1 in DNA from the patient. PMID: 19172511
- The study shows that ALADIN is a protein with a molecular weight of 60 kDa, and expressed in the adrenal gland, pituitary gland and pancreas. ALADIN is localized in the nuclear membrane. PMID: 19322026
- NDC1-mediated localization of ALADIN to nuclear pore complexes is essential for selective nuclear protein import; abrogation of the interaction between ALADIN and NDC1 may be important for the development of triple-A syndrome. PMID: 19703420
- ALADIN is anchored in the nuclear envelope via NDC1 and that this interaction gets lost, if ALADIN is mutated. PMID: 19782045
顯示更多
收起更多
-
相關疾病:Achalasia-addisonianism-alacrima syndrome (AAAS)
-
亞細胞定位:Nucleus, nuclear pore complex. Cytoplasm, cytoskeleton, spindle pole. Nucleus envelope.
-
組織特異性:Widely expressed. Particularly abundant in cerebellum, corpus callosum, adrenal gland, pituitary gland, gastrointestinal structures and fetal lung.
-
數據庫鏈接:
Most popular with customers
-
-
Phospho-YAP1 (S127) Recombinant Monoclonal Antibody
Applications: ELISA, WB, IHC
Species Reactivity: Human
-
-
-
-
-
-















