TRIM7 Monoclonal Antibody
-
中文名稱:TRIM7 Monoclonal Antibody
-
貨號:CSB-MA908113
-
規格:¥1320
-
圖片:
-
Flow cytometric analysis of TRIM7 expression in HeLa cells using TRIM7 antibody. Green, isotype control; red, TRIM7.
-
Western blotting analysis using TRIM7 antibody. Total cell lysates (30 μg) from various cell lines were loaded and separated by SDS-PAGE. The blot was incubated with TRIM7 antibody and HRP-conjugated goat anti-mouse secondary antibody respectively.
-
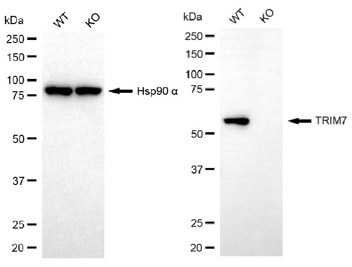
Western blotting analysis using TRIM7 antibody. TRIM7 expression in wild type (WT) and TRIM7 knockout (KO) HeLa cells with 20 μg of total cell lysates. Hsp90 α serves as a loading control. The blot was incubated with TRIM7 antibody and HRP-conjugated goat anti-mouse secondary antibody respectively.
-
-
其他:
產品詳情
-
產品名稱:Mouse anti-Homo sapiens (Human) TRIM7 Monoclonal antibody
-
Uniprot No.:
-
基因名:TRIM7
-
別名:TRIM7; Tripartite Motif Containing 7; GNIP; Glycogenin-Interacting Protein; E3 Ubiquitin-Protein Ligase TRIM7; Tripartite Motif Protein TRIM7; RING Finger Protein 90; Tripartite Motif-Containing Protein 7; Tripartite Motif-Containing 7; EC 2.3.2.27
-
宿主:Mouse
-
反應種屬:Human, Mouse, Rat
-
免疫原:Recombinant Human TRIM7 protein
-
免疫原種屬:Homo sapiens (Human)
-
標記方式:Non-conjugated
-
克隆類型:Monoclonal
-
抗體亞型:Mouse IgG1
-
純化方式:Affinity-chromatography
-
克隆號:19B5
-
濃度:It differs from different batches. Please contact us to confirm it.
-
保存緩沖液:PBS (pH 7.4) containing 50% glycerol, and 0.02% sodium azide.
-
產品提供形式:Liquid
-
應用范圍:ELISA, WB, FC
-
推薦稀釋比:
Application Recommended Dilution WB 1:400-1:2000 FC 1:200-1:2000 -
Protocols:
-
儲存條件:Upon receipt, store at -20°C or -80°C. Avoid repeated freeze.
-
貨期:Basically, we can dispatch the products out in 1-3 working days after receiving your orders. Delivery time maybe differs from different purchasing way or location, please kindly consult your local distributors for specific delivery time.
-
用途:For Research Use Only. Not for use in diagnostic or therapeutic procedures.
相關產品
靶點詳情
-
功能:E3 ubiquitin-protein ligase. Mediates 'Lys-63'-linked polyubiquitination and stabilization of the JUN coactivator RNF187 in response to growth factor signaling via the MEK/ERK pathway, thereby regulating JUN transactivation and cellular proliferation. Promotes the TLR4-mediated signaling activation through its E3 ligase domain leading to production of proinflammatory cytokines and type I interferon. Plays also a negative role in the regulation of exogenous cytosolic DNA virus-triggered immune response. Mechanistically, enhances the 'Lys-48'-linked ubiquitination of STING1 leading to its proteasome-dependent degradation.; (Microbial infection) Promotes Zika virus replication by mediating envelope protein E ubiquitination.
-
基因功能參考文獻:
- TRIM28 is a specific SUMO E3 ligase of interferon regulatory factor (IRF)7 and negatively regulates its activity and interferon (IFN)-based antiviral responses, in support of the expanding roles of TRIM proteins which regulate innate immunity. PMID: 21940674
- GNIP, a novel protein that binds and activates glycogenin, the self-glucosylating initiator of glycogen biosynthesis PMID: 11916970
-
亞細胞定位:Cytoplasm. Golgi apparatus.
-
蛋白家族:TRIM/RBCC family
-
組織特異性:Skeletal muscle and placenta, at lower levels in heart, brain and pancreas. Isoform 1 is widely expressed with high level in testis, kidney and heart.
-
數據庫鏈接:
Most popular with customers
-
-
YWHAB Recombinant Monoclonal Antibody
Applications: ELISA, WB, IHC, IF, FC
Species Reactivity: Human, Mouse, Rat
-
-
-
-
-
-















