TNFRSF17 Monoclonal Antibody
-
中文名稱:TNFRSF17鼠單克隆抗體
-
貨號:CSB-MA023974A0m
-
規格:¥1320
-
圖片:
-
Western Blot
Positive WB detected in: 1-2 lanes: 293F whole cell lysate transfected with BCMA; 3-4 lane: Recombinant proteins with BCMA
All lanes: TNFRSF17 antibody at 1:1000
Secondary
Goat polyclonal to mouse IgG at 1/50000 dilution
Predicted band size: 40, 15 KDa
Observed band size: 40, 15 KDa
Exposure time:10min -
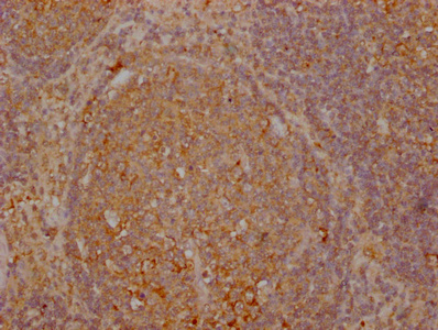
IHC image of CSB-MA023974A0m diluted at 1:100 and staining in paraffin-embedded human tonsil tissue performed on a Leica BondTM system. After dewaxing and hydration, antigen retrieval was mediated by high pressure in a citrate buffer (pH 6.0). Section was blocked with 10% normal goat serum 30min at 37°C Then primary antibody (1% BSA) was incubated at 4°C overnight. The primary is detected by a Goat anti-Mouse IgG labeled by HRP and visualized using 0.05% DAB.
-
IHC image of CSB-MA023974A0m diluted at 1:100 and staining in paraffin-embedded human colon tissue performed on a Leica BondTM system. After dewaxing and hydration, antigen retrieval was mediated by high pressure in a citrate buffer (pH 6.0). Section was blocked with 10% normal goat serum 30min at 37°C Then primary antibody (1% BSA) was incubated at 4°C overnight. The primary is detected by a Goat anti-Mouse IgG labeled by HRP and visualized using 0.05% DAB.
-
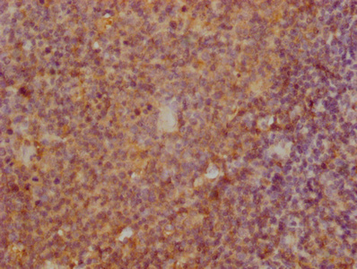
IHC image of CSB-MA023974A0m diluted at 1:100 and staining in paraffin-embedded human lymph node tissue performed on a Leica BondTM system. After dewaxing and hydration, antigen retrieval was mediated by high pressure in a citrate buffer (pH 6.0). Section was blocked with 10% normal goat serum 30min at 37°C Then primary antibody (1% BSA) was incubated at 4°C overnight. The primary is detected by a Goat anti-Mouse IgG labeled by HRP and visualized using 0.05% DAB.
-
-
其他:
產品詳情
-
產品描述:CUSABIO貨號:CSB-MA023974A0m TNFRSF17單克隆抗體是針對B細胞成熟抗原BCMA研發的高特異性科研試劑,適用于人源樣本的ELISA、Western Blot和免疫組化檢測。該抗體采用重組人源TNFRSF17蛋白免疫篩選制備,能夠精準識別腫瘤壞死因子受體超家族成員17(TNFRSF17/BCMA)的表位,該靶點在B細胞發育、免疫調控及多發性骨髓瘤微環境中發揮關鍵作用。產品經嚴格驗證具備優異的重現性和批次穩定性,特別適用于B淋巴細胞分化研究、腫瘤免疫微環境分析以及免疫相關疾病機制探索等科研領域。研究者可通過該抗體進行病理切片染色、蛋白質印跡定量及體外免疫檢測實驗,為探索B細胞相關疾病的分子機制提供可靠工具。作為專業科研用抗體,本產品不適用于臨床診斷或治療,符合基礎研究領域的實驗需求。
-
產品名稱:Mouse anti-Homo sapiens (Human) TNFRSF17 Monoclonal antibody
-
Uniprot No.:
-
基因名:
-
別名:B cell maturation antigen antibody; B cell maturation factor antibody; B cell maturation protein antibody; B-cell maturation protein antibody; BCM antibody; BCMA antibody; CD269 antibody; CD269 antigen antibody; TNFRSF17 antibody; TNR17_HUMAN antibody; Tumor necrosis factor receptor superfamily member 17 antibody
-
宿主:Mouse
-
反應種屬:Human
-
免疫原:Recombinant Human TNFRSF17 protein (1-54AA)
-
免疫原種屬:Homo sapiens (Human)
-
標記方式:Non-conjugated
-
克隆類型:Monoclonal
-
抗體亞型:IgG2b
-
純化方式:>95%, Protein G purified
-
克隆號:4D7E5
-
濃度:It differs from different batches. Please contact us to confirm it.
-
保存緩沖液:Preservative: 0.03% Proclin 300
Constituents: 50% Glycerol, 0.01M PBS, PH 7.4 -
產品提供形式:Liquid
-
應用范圍:ELISA, WB, IHC
-
推薦稀釋比:
Application Recommended Dilution WB 1:1000-1:5000 IHC 1:50-1:200 -
Protocols:
-
儲存條件:Upon receipt, store at -20°C or -80°C. Avoid repeated freeze.
-
貨期:Basically, we can dispatch the products out in 1-3 working days after receiving your orders. Delivery time maybe differs from different purchasing way or location, please kindly consult your local distributors for specific delivery time.
-
用途:For Research Use Only. Not for use in diagnostic or therapeutic procedures.
相關產品
靶點詳情
-
功能:Receptor for TNFSF13B/BLyS/BAFF and TNFSF13/APRIL. Promotes B-cell survival and plays a role in the regulation of humoral immunity. Activates NF-kappa-B and JNK.
-
基因功能參考文獻:
- Expression patterns of BAFF and its receptor BCMA differ according to lupus nephritis class. PMID: 29087261
- High BCMA expression is associated with primary central nervous system lymphoma. PMID: 28521029
- soluble BCMA sequesters circulating BAFF, thereby preventing it from performing its signaling to stimulate normal B-cell and plasma cell development, resulting in reduced polyclonal antibody levels in multiple myeloma patients. PMID: 26960399
- Studied expression of B-cell maturation antigen (BCMA) in osteoblasts and the toxic effect of chromium on its expression; found BCMA is involved in osteogenesis of osteoblasts; chromium downregulates expression of BCMA in osteoblasts. PMID: 26011700
- BCMA has other contributors for ligands binding except DxL motif. The affinity of BCMA for APRIL higher than for BAFF may be caused by the segment outside of the conservative DxL motif. Moreover, the exposition of new binding modes of BCMA2 interacting with APRIL may establish the foundation of designing novel drugs in the future PMID: 28260502
- New molecular mechanisms of in vivo Multiple Myeloma (MM) growth and immunosuppression critically dependent on BCMA and APRIL in the Bone marrow microenvironment, further supporting targeting this prominent pathway in MM. PMID: 27127303
- We have identified a specific serum protein, BCMA, as a novel independent marker for both monitoring and predicting outcomes for MM patients. We have shown that sBCMA is elevated in MM patients, and can be used to follow their disease status, PFS and OS. PMID: 28034989
- The expression levels of serum BAFF and the three receptors (TACI, BCMA and BAFF-R) in non-Hodgkin lymphoma patients were significantly higher than in healthy controls. PMID: 28028945
- Decreased BCMA expression on peripheral B cells according to severe disease activity suggests that BCMA plays an important regulating role in B-cell hyperactivity and immune tolerance homeostasis in systemic lupus erythematosus patients PMID: 26424128
- results suggest that Akt and JNK pathways are involved in the regulation of B-cell maturation antigen (BCMA) PMID: 26914861
- shedding of BCMA by gamma-secretase controls plasma cells in the bone marrow and yields a potential biomarker for B-cell involvement in human autoimmune diseases PMID: 26065893
- elevated serum levels in patients with Behcet's disease PMID: 25759827
- Data show significant differences in expression of tumour necrosis factor family (BAFF) receptors BAFF-R, BCMA and TACI in patients with and without anti-Jo-1 or anti-Ro52/anti-Ro60 autoantibodies. PMID: 25301447
- High BCMA expression is associated with breast cancer. PMID: 25750171
- BAFF and APRIL as well as their cognate receptors (BCMA, TACI) correlate with glioma grade. (Meta-analysis) PMID: 24376672
- The B cell maturation antigen (BCMA) is a tumor necrosis family receptor member that is predominantly expressed on terminally differentiated B cells and, upon binding to its ligands B cell activator of the TNF family and a proliferation inducing ligand. PMID: 23237506
- Activation of B cells through BCMA regulates spinal cord injury-induced autoimmunity via a proliferation-inducing ligand (APRIL) and B-cell-activating factor (BAFF). PMID: 23088438
- Data indicate that MAGE3, Survivin and B-cell maturation antigen (BCMA) mRNA-pulsed dendritic cells (DCs) are capable of stimulating tumor-associated antigens (TAA)-specific T-cell responses in multiple myeloma (MM) patients. PMID: 23728352
- Data indicate that B-cell maturation antigen (BCMA) is a suitable target for chimeric antigen receptor (CAR)-expressing T cells, and adoptive transfer of anti-BCMA-CAR-expressing T cells is a promising new strategy for treating multiple myeloma. PMID: 23344265
- B-cell maturation antigen (BCMA), an essential membrane protein for maintaining the survival of plasma cells, was identified as a glycoprotein exhibiting complex-type N-glycans at a single N-glycosylation site, asparagine 42. PMID: 23776238
- the effect of APRIL is mediated via BCMA, which does not activate the classical NF-kappaB pathway, whereas it induces a novel signaling pathway, which involves JNK2 phosphorylation, FOXO3A activation, and GADD45 transcription PMID: 23071284
- Serum BCMA levels were higher among patients with progressive disease than those with responsive disease. Overall survival was shorter among patients whose serum BCMA levels were above the median. PMID: 22804669
- TNFRSF17 may be a candidate gene associated with the pathogenesis of colon cancer. PMID: 22108903
- These data advance BCMA as an inflammation-related TNF superfamily member in keratinocytes, of potential importance in the management of inflammatory skin conditions. PMID: 22166983
- primary leukemia B-cell precursors aberrantly express receptors of the BAFF-system, BAFF-R, BCMA, and TACI PMID: 21687682
- This is the first study, presenting together the TNFSF members APRIL, BAFF, TWEAK and their receptors in different areas of normal renal tissue and renal cell carcinoma. PMID: 21483105
- Signaling through BCMA enhances B cell activation following exposure to TLR9 agonists, and increased expression in SLE may contribute to the production of IgG autoantibodies. PMID: 21250838
- genetic polymorphisms are associated with gastrointestinal disorders PMID: 20016944
- Expression of BCMA, TACI, and BAFF-R by multiple myeloma cells support cell growth and survival. PMID: 14512299
- APRIL.TACI_d2 and APRIL.BCMA complexes together reveal the mechanism by which TACI engages high affinity ligand binding through a single cysteine-rich domain PMID: 15542592
- BCMA is a target of donor B-cell immunity in patients with myeloma who respond to Donor lymphocyte infusions PMID: 15692072
- Review. APRIL interactions with BCMA likely govern memory B cell populations. PMID: 16919470
- Review. Direct BAFF/APRIL signalling in T cells and/or T cell modulation in response to a BAFF-modified B cell compartment may play an important role in inflammation and immunomodulation. PMID: 16931039
- The BCMA inhibited HRS cell accumulation in vitro and might attenuate HL expansion in vivo. PMID: 16960154
- BCMA TVs were observed only in some CD19+ cell samples. PMID: 17825416
- rheumatoid arthritis fibroblast like synoviocytes are stimulated by APRIL and express the APRIL receptor BCMA PMID: 17968879
- Expression of B cell maturation Ag (BCMA) is also highly regulated and we demonstrate that BCMA expression is only acquired in MB cells and in a manner accompanied by loss of BAFF-R expression. PMID: 18025170
- we observed APRIL expression, together with TACI and BCMA in gut-associated lymphoid tissue, lamina propria, and in the epithelium of stomach, small and large intestine, and rectum. PMID: 19741596
顯示更多
收起更多
-
相關疾?。?/div>A chromosomal aberration involving TNFRSF17 is found in a form of T-cell acute lymphoblastic leukemia (T-ALL). Translocation t(4;16)(q26;p13) with IL2.亞細胞定位:Cell membrane; Single-pass type III membrane protein. Endomembrane system; Single-pass type III membrane protein. Note=Perinuclear Golgi-like structures.組織特異性:Expressed in mature B-cells, but not in T-cells or monocytes.數據庫鏈接:
Most popular with customers
-
-
YWHAB Recombinant Monoclonal Antibody
Applications: ELISA, WB, IHC, IF, FC
Species Reactivity: Human, Mouse, Rat
-
Phospho-YAP1 (S127) Recombinant Monoclonal Antibody
Applications: ELISA, WB, IHC
Species Reactivity: Human
-
-
-
-
-















