-
中文名稱:NFE2L2鼠單克隆抗體
-
貨號:CSB-MA614961A0m
-
規格:¥1320
-
圖片:
-
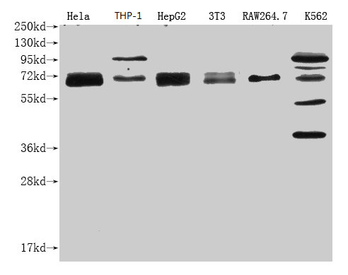
Western Blot
Positive WB detected in: NFE2L2 antibody at 1:1000
Lane 1: Hela whole cell lysate
Lane 2: THP-1 whole cell lysate
Lane 3: HepG2 whole cell lysate
Lane 4: NIH/3T3 whole cell lysate
Lane 5: RAW264.7 whole cell lysate
Lane 6: K562 whole cell lysate
Secondary
Goat polyclonal to Mouse IgG at 1/20000 dilution
Predicted band size: 68 KDa
Observed band size: 68-100 KDa
Exposure time: 1min -
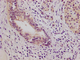
IHC image of CSB-MA614961A0m diluted at 1:100 and staining in paraffin-embedded human breast cancer tissue performed on a Leica BondTM system. After dewaxing and hydration, antigen retrieval was mediated by high pressure in a citrate buffer (pH 6.0). Section was blocked with 10% normal goat serum 30min at RT. Then primary antibody (1% BSA) was incubated at 4°C overnight, and detected by a Goat anti-mouse IgG polymer labeled by HRP and visualized using 0.05% DAB.
-
IHC image of CSB-MA614961A0m diluted at 1:100 and staining in paraffin-embedded human pancreatic cancer tissue performed on a Leica BondTM system. After dewaxing and hydration, antigen retrieval was mediated by high pressure in a citrate buffer (pH 6.0). Section was blocked with 10% normal goat serum 30min at 37℃. Then primary antibody (1% BSA) was incubated at 4°C overnight. The primary is detected by a Goat anti-mouse IgG labeled by HRP and visualized using 0.05% DAB.
-
Immunofluorescence staining of NIH/3T3 cells with CSB-MA614961A0m at 1:150, counter-stained with DAPI. The cells were fixed in 4% formaldehyde and blocked in 10% normal Goat Serum. The cells were then incubated with the antibody overnight at 4°C. Nuclear DNA was labeled in blue with DAPI. The secondary antibody was FITC-conjugated AffiniPure Goat Anti-Mouse IgG (H+L).
-
Immunofluorescence staining of HepG2 cells with CSB-MA614961A0m at 1:150, counter-stained with DAPI. The cells were fixed in 4% formaldehyde and blocked in 10% normal Goat Serum. The cells were then incubated with the antibody overnight at 4°C. Nuclear DNA was labeled in blue with DAPI. The secondary antibody was FITC-conjugated AffiniPure Goat Anti-Mouse IgG (H+L).
-
Overlay Peak curve showing Hela cells stained with CSB-MA614961A0m (red line) at 1:100. The cells were incubated in 10% normal goat serum to block non-specific protein-protein interactions followed by the antibody (1μg/1*106cells) for 1h at 4°C. The secondary antibody used was FITC-conjugated Goat Anti-Mouse IgG(H+L) at 1/100 dilution for 30min at 4°C. Isotype control antibody (green line) was mouse IgG1 (1μg/1*106cells) used under the same conditions. Acquisition of >10,000 events was performed.
-
Overlay Peak curve showing HepG2 cells stained with CSB-MA614961A0m (red line) at 1:100. The cells were incubated in 10% normal goat serum to block non-specific protein-protein interactions followed by the antibody (1μg/1*106cells) for 1h at 4°C. The secondary antibody used was FITC-conjugated Goat Anti-Mouse IgG(H+L) at 1/100 dilution for 30min at 4°C. Isotype control antibody (green line) was mouse IgG1 (1μg/1*106cells) used under the same conditions. Acquisition of >10,000 events was performed.
-
-
其他:
產品詳情
-
產品描述:CUSABIO貨號:CSB-MA614961A0m NFE2L2單克隆抗體是一款專為科研實驗設計的高特異性試劑,靶向調控細胞氧化應激反應的核心因子NFE2L2(核因子E2相關因子2)。該轉錄因子通過與抗氧化反應元件(ARE)結合,在調節谷胱甘肽代謝、解毒酶表達及氧化損傷保護機制中發揮關鍵作用。本產品經嚴格驗證可同時識別人源與小鼠來源的NFE2L2蛋白,適用于免疫印跡(WB)、免疫組化(IHC)、免疫熒光(IF)、流式細胞術(FC)及酶聯免疫吸附(ELISA)等多重實驗平臺。其優異的抗原結合能力可為氧化應激相關研究提供可靠支持,特別是在神經退行性疾病機制探索、腫瘤細胞耐藥性分析、炎癥反應信號通路解析等前沿領域具有重要應用價值。該抗體采用單克隆技術制備,具備高度均一的批間穩定性和特異性,能夠精準識別目標蛋白的特定表位,為研究NFE2L2在NRF2/KEAP1通路中的動態調控、藥物誘導的抗氧化反應及基因表達譜變化等科學問題提供優質工具。本產品嚴格遵循質量控制標準,是探索氧化還原平衡調控機制及開發相關疾病治療策略的理想選擇。
-
產品名稱:Mouse anti-Homo sapiens (Human) NFE2L2 Monoclonal antibody
-
Uniprot No.:
-
基因名:
-
別名:erythroid derived 2 antibody; HEBP1 antibody; like 2 antibody; NF E2 related factor 2 antibody; NF-E2-related factor 2 antibody; NF2L2_HUMAN antibody; NFE2 related factor 2 antibody; NFE2-related factor 2 antibody; Nfe2l2 antibody; Nrf 2 antibody; NRF2 antibody; Nuclear factor (erythroid derived 2) like 2 antibody; Nuclear factor antibody; nuclear factor erythroid 2 like 2 antibody; Nuclear factor erythroid 2 related factor 2 antibody; Nuclear factor erythroid 2-related factor 2 antibody; Nuclear factor erythroid derived 2 like 2 antibody
-
宿主:Mouse
-
反應種屬:Human, Mouse
-
免疫原:Recombinant Human Nuclear factor erythroid 2-related factor 2 protein (256-605AA)
-
免疫原種屬:Homo sapiens (Human)
-
標記方式:Non-conjugated
-
克隆類型:Monoclonal
-
抗體亞型:IgG2b
-
純化方式:>95%, Protein A purified
-
克隆號:2F6C6
-
濃度:It differs from different batches. Please contact us to confirm it.
-
保存緩沖液:Preservative: 0.03% Proclin 300
Constituents: 50% Glycerol, 0.01M PBS, PH 7.4 -
產品提供形式:Liquid
-
應用范圍:ELISA, WB, IHC, IF, FC
-
推薦稀釋比:
Application Recommended Dilution WB WB:1:1000-1:8000 IHC 1:50-1:200 IF 1:50-1:200 FC 1:50-1:200 -
Protocols:
-
儲存條件:Upon receipt, store at -20°C or -80°C. Avoid repeated freeze.
-
貨期:Basically, we can dispatch the products out in 1-3 working days after receiving your orders. Delivery time maybe differs from different purchasing way or location, please kindly consult your local distributors for specific delivery time.
-
用途:For Research Use Only. Not for use in diagnostic or therapeutic procedures.
引用文獻
- The metabolite alpha-ketobutyrate extends lifespan by promoting peroxisomal function in C. elegans N Wu,Nature communications,2023
相關產品
靶點詳情
-
功能:Transcription factor that plays a key role in the response to oxidative stress: binds to antioxidant response (ARE) elements present in the promoter region of many cytoprotective genes, such as phase 2 detoxifying enzymes, and promotes their expression, thereby neutralizing reactive electrophiles. In normal conditions, ubiquitinated and degraded in the cytoplasm by the BCR(KEAP1) complex. In response to oxidative stress, electrophile metabolites inhibit activity of the BCR(KEAP1) complex, promoting nuclear accumulation of NFE2L2/NRF2, heterodimerization with one of the small Maf proteins and binding to ARE elements of cytoprotective target genes. The NFE2L2/NRF2 pathway is also activated in response to selective autophagy: autophagy promotes interaction between KEAP1 and SQSTM1/p62 and subsequent inactivation of the BCR(KEAP1) complex, leading to NFE2L2/NRF2 nuclear accumulation and expression of cytoprotective genes. May also be involved in the transcriptional activation of genes of the beta-globin cluster by mediating enhancer activity of hypersensitive site 2 of the beta-globin locus control region. Plays also an important role in the regulation of the innate immune response and antiviral cytosolic DNA sensing. It is a critical regulator of the innate immune response and survival during sepsis by maintaining redox homeostasis and restraint of the dysregulation of proinflammatory signaling pathways like MyD88-dependent and -independent and TNF-alpha signaling. Suppresses macrophage inflammatory response by blocking proinflammatory cytokine transcription and the induction of IL6. Binds to the proximity of proinflammatory genes in macrophages and inhibits RNA Pol II recruitment. The inhibition is independent of the NRF2-binding motif and reactive oxygen species level. Represses antiviral cytosolic DNA sensing by suppressing the expression of the adapter protein STING1 and decreasing responsiveness to STING1 agonists while increasing susceptibility to infection with DNA viruses. Once activated, limits the release of pro-inflammatory cytokines in response to human coronavirus SARS-CoV-2 infection and to virus-derived ligands through a mechanism that involves inhibition of IRF3 dimerization. Also inhibits both SARS-CoV-2 replication, as well as the replication of several other pathogenic viruses including Herpes Simplex Virus-1 and-2, Vaccinia virus, and Zika virus through a type I interferon (IFN)-independent mechanism.
-
基因功能參考文獻:
- The key antioxidant enzymes and transcription factor Nrf2 are up-regulated, and the NOX5 expression is reduced during development of drug resistance of tumor cells to cisplatin. PMID: 30225719
- HIF1A is upregulated in breast and bladder tumors with high NRF2 activity. NRF2 targets a functional antioxidant response element at the HIF1A locus, which reveals a direct regulatory connection between two important oxygen responsive transcription factors. PMID: 30241031
- A core set of 32 direct NRF2 targets that are consistently upregulated in NRF2 hyperactivated tumors. PMID: 30195190
- The expression of Nrf2-ARE molecules and related antioxidases is significantly decreased in patients with OSAHS and is correlated with neurocognitive dysfunction. PMID: 30159112
- These results suggest that constitutive activation of Nrf2 might be linked with tumor aerobic glycolysis and progression of UTUC, indicating that Nrf2 signaling in the tumor microenvironment promotes progression of UTUC. PMID: 29716554
- NRF2 is a transcription factor that robustly transduces chemical signals to regulate a battery of cytoprotective genes. KEAP1 represses NRF2 activity under quiescent conditions, whereas NRF2 is liberated from KEAP1-mediated repression on exposure to stresses. [review] PMID: 29717933
- the ability of porphyra-334 and shinorine to dissociate Nrf2 from Keap1 was confirmed also by measurement of increased mRNA expression of Nrf2 targeted genes encoding oxidative stress defense proteins in primary skin fibroblasts prior and post UVR exposure. PMID: 30071261
- NRF2, DJ1 and SRNX1 are commonly expressed in diffusely infiltrating astrocytomas and they can be used in predicting patient prognosis. PMID: 29441509
- the present findings were the first to show that pterostilbene attenuated high glucose-induced central nervous system injury in vitro through the activation of Nrf2 signaling, displaying protective effects against mitochondrial dysfunction-derived oxidative stress. PMID: 28089584
- In some breast cancer cells, xCT antiporter expression is upregulated through the antioxidant transcription factor Nrf2 and contributes to their requirement for glucose as a carbon source. PMID: 28429737
- study provides support for the involvement of both NFE2L2 and PPARGC1alpha in Parkinson's disease susceptibility and progression, marginally and through pathways involving maneb and paraquat exposure. PMID: 29630901
- Our data suggests a novel interaction between Nrf2 and ATF4 under oxidative and endoplasmic reticulum stress, thus drives specific enzymatic and non-enzymatic reactions of antioxidant mechanisms maintaining redox homeostasis. PMID: 29421327
- The senescence-associated downregulation of NRF2 decreases endothelial glycolytic activity and stress tolerance both of which are restored after reinstating NRF2. PMID: 29986211
- Aberrant Nrf2/Keap1 system integrity may affect self-defence mechanisms against oxidative stress in primary biliary cholangitis. PMID: 28333129
- Inflammation, oxidative stress, and higher expression levels of Nrf2 and NQO1 proteins in the airways of women chronically exposed to biomass fuel smoke. PMID: 29363060
- Data suggest that NRF2/NFE2L2 promotes breast cancer progression by enhancing glycolysis through co-activation of HIF1A; NRF2 and HIF1A mRNA and protein levels are significantly up-regulated in breast cancer cells as compared to benign breast epithelial cells. (NRF2/NFE2L2 = nuclear factor erythroid 2-related factor 2; HIF1A = hypoxia inducible factor 1 subunit alpha) PMID: 29275212
- Results show that NRF2 expression is regulated by NRG1 in papillary thyroid cancer (PTC). PMID: 29901070
- 27-OH induced autophagy is dependent on the relation between nuclear factor erythroid 2 p45-related factor 2 (Nrf2)-dependent antioxidant response and p62. PMID: 29879549
- evidence for a direct role of NRF2 in globin gene regulation PMID: 28473619
- the CD44-NRF2 axis might be a promising therapeutic target for the control of stress resistance and survival of CD44(high) CSC population within breast tumors. PMID: 29729523
- this study shows changes of NRF2 expression levels induced by cell-free DNA in different cell types PMID: 29743966
- Metabolism-dependent clonal growth of HCT15 colorectal cancer cells was induced by Nrf2-dependent activation of MCT1-driven lactate exchange. PMID: 28846107
- Here we present a proof-of-concept application for the rational design of an epitope-specific antibody binding with the target protein Keap1, by grafting pre-defined structural interaction patterns from the native binding partner protein, Nrf2, onto geometrically matched positions of a set of antibody scaffolds. The designed antibodies bind to Keap1 and block the Keap1-Nrf2 interaction in an epitope-specific way PMID: 28128368
- This review focuses on some fundamental aspects of Nrf2 effects on redox systems, mitochondrial function, and proteostasis. [Review Article] PMID: 28424271
- Therapeutic inhibition of Nrf2/ABCB1 signaling can be considered as a novel strategy. PMID: 29793178
- The cross-talk between HIF1A, NRF2 and NF-kappaB is required to adapt to changes in oxygen availability. (Review) PMID: 29485192
- The effect of lutein antiproliferation was mediated by activation of the NrF2/ARE pathway, and blocking of the NF-kappaB signaling pathway..lutein treatment decreased NF-kappaB signaling pathway related NF-kappaB p65 protein expression PMID: 29336610
- Nuclear factor erythroid-2-related factor regulates LRWD1 expression and cellular adaptation to oxidative stress in human embryonal carcinoma cells PMID: 29544732
- In human keratinocytes, authors found that perillaldehyde (1) inhibited BaP-induced AHR activation and ROS production, (2) inhibited BaP/AHR-mediated release of the CCL2 chemokine, and (3) activated the NRF2/HO1 antioxidant pathway. PMID: 29643980
- Authors show that NRF2 regulates both basal and inducible expression of HER1, as treatment of ovarian cancer cells (PEO1, OVCAR3, and SKOV3) with NRF2 activator tBHQ inducing HER1, while inhibition of NRF2 by siRNA knockdown or with retinoid represses HER1. PMID: 29410730
- Nrf2 deregulation has been linked to both aging and pathogenesis of many human chronic diseases, including neurodegenerative ones such as Parkinson's disease, Alzheimer's disease and amyotrophic lateral sclerosis. Nrf2 activity is tightly regulated by a fine balance between positive and negative modulators. PMID: 29969760
- our results demonstrate that Pc-induced expression of HO-1 is mediated by the PKCA-Nrf-2/HO-1 pathway, and inhibits UVB-induced apoptotic cell death in primary skin cells. PMID: 29470442
- our study emphasizes the discovery of a gene signature regulated by the KEAP1-NRF2-CUL3 axis which is strongly associated with tumorigenesis and drug resistance in head and neck squamous cell cancer . PMID: 29306329
- Nrf2 overexpression was associated with tumor size, histological grade, and metastasis in gastric cancer patients. PMID: 29091877
- Data (including data from studies using tissues/cells from transgenic mice) suggest that ChREBPalpha up-regulates expression and activity of NRF2, initiating mitochondrial biogenesis in beta-cells; induction of NRF2 is required for ChREBPalpha-mediated effects and for glucose-stimulated beta-cell proliferation. [ChREBP = carbohydrate-responsive element-binding protein] PMID: 29764859
- The NFE2L2 promotor variant rs6721961 may be protective against hearing loss in cisplatin-receiving cancer patients by affecting NFE2L2 gene expression. PMID: 27457817
- Following arachidin-1 pretreatment, the H2O2-induced generation of reactive oxygen species was reduced. Therefore, the present results indicate that arachidin-1 suppresses TNF-alpha-induced inflammation in ECs through the upregulation of Nrf-2-related phase II enzyme expression. PMID: 29115410
- In the present review we briefly introduce the Nrf2-Keap1 system and describe Nrf2 functions, illustrate the Nrf2-NF-kappaB cross-talk, and highlight the effects of the Nrf2-Keap1 system in the physiology and pathophysiology of striated muscle tissue taking into account its role(s) in oxidative stress and reductive stress PMID: 29499228
- In light of a pivotal role of NRF2 and BACH1 in response to oxidative stress and regulation of HO-1, we examined if smoke-induced HO-1 expression is modulated through the NRF2/BACH1 axis. We demonstrated that smoke causes significant nuclear translocation of NRF2, but only a slight decrease in nuclear BACH1. PMID: 29125538
- Study found that NRF2 expression level was significantly of down-regulated in hepatic ischemia-reperfusion (HIR) model. PMID: 28708282
- Enhanced BRAF-mediated NRF2 gene transcription and Histone Acetyltransferases-mediated NRF2 protein acetylation contributes to ABCC1-mediated chemoresistance and glutathione-mediated survival in acquired topoisomerase II poison-resistant cancer cells. PMID: 29080842
- Respiratory syncytial virus induces NRF2 degradation through a PML-RNF4 pathway. PMID: 29107745
- Results show that NRF2 activity is positively regulated by miR-432-3p through downregulation of KEAP1 inducing its stability in squamous cell carcinoma. PMID: 28760781
- An intact complex of PGAM5-KEAP1-Nrf2 preserves mitochondrial motility by suppressing dominant-negative KEAP1 activity. PMID: 28839075
- Hydrogen sulfide attenuates vascular smooth muscle cell calcification in vitro via the KEAP1-NRF2 redox sensing/stress response system by enhancing NQO1 expression. PMID: 28865326
- 5-hydroxyeicosatetraenoic acid and 5-hydroxyeicosapentaenoic acid were converted to 5-oxo-eicosatetraenoic acid (5-oxo-ETE) in HUVECs, and 5-oxo-ETE increased Nrf2 activation. These results suggest that 5-hydroxyeicosatetraenoic acid and 5-hydroxyeicosapentaenoic acid works as an Nrf2 activator through the metabolite 5-oxo-ETE in HUVECs. PMID: 28892009
- The interplay between Nrf2 and VEGF can contribute to venous hypertension-induced angiogenesis in brain arteriovenous malformations pathogenesis. PMID: 27869147
- High Nrf2 expression in alveolar type I pneumocytes is associated with low recurrences in primary spontaneous pneumothorax. PMID: 28962820
- Here, the authors show that activation of NRF2, in either mouse or human cancer cells, leads to increased dependency on exogenous glutamine through increased consumption of glutamate for glutathione synthesis and glutamate secretion by xc(-) antiporter system. PMID: 28967864
- PCR and western blot results showed that inhibiting the secretion of Wnt3A blocked the Wnt signaling pathway and prevented Nrf2 signaling. Notably, the Wnt inhibitor may serve as a radiosensitizing drug PMID: 28627706
顯示更多
收起更多
-
亞細胞定位:Cytoplasm, cytosol. Nucleus.
-
蛋白家族:BZIP family, CNC subfamily
-
組織特異性:Widely expressed. Highest expression in adult muscle, kidney, lung, liver and in fetal muscle.
-
數據庫鏈接:
Most popular with customers
-
-
YWHAB Recombinant Monoclonal Antibody
Applications: ELISA, WB, IHC, IF, FC
Species Reactivity: Human, Mouse, Rat
-
Phospho-YAP1 (S127) Recombinant Monoclonal Antibody
Applications: ELISA, WB, IHC
Species Reactivity: Human
-
-
-
-
-















