MS4A1 Monoclonal Antibody
-
中文名稱:MS4A1鼠單克隆抗體
-
貨號:CSB-MA996413
-
規格:¥1320
-
圖片:
-
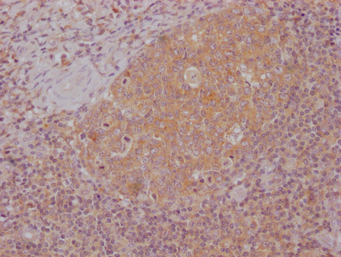
IHC image of CSB-MA996413 diluted at 1:100 and staining in paraffin-embedded human tonsil tissue performed on a Leica BondTM system. After dewaxing and hydration, antigen retrieval was mediated by high pressure in a citrate buffer (pH 6.0). Section was blocked with 10% normal goat serum 30min at RT. Then primary antibody (1% BSA) was incubated at 4°C overnight. The primary is detected by a Goat anti-mouse IgG polymer labeled by HRP and visualized using 0.05% DAB.
-
-
其他:
產品詳情
-
產品描述:MS4A1單克隆抗體(CUSABIO貨號:CSB-MA996413)是針對B淋巴細胞表面CD20抗原的科研用試劑,該靶標蛋白作為跨膜4A家族成員,在B細胞活化和鈣離子信號轉導中起關鍵作用。本產品采用小鼠IgG1亞型單克隆抗體,經ELISA和免疫組化驗證適用于人源樣本,能夠特異性識別位于細胞膜外區的EPANPSEKNSPSTQY抗原表位。該抗體在B淋巴細胞發育各階段均呈現穩定結合特性(漿細胞除外),是研究B細胞生物學、淋巴瘤微環境及免疫調節機制的重要工具。科研人員可通過該試劑進行組織切片染色分析B細胞空間分布,或配合ELISA技術開展蛋白質定量檢測,為免疫學、血液腫瘤研究和藥物靶點篩選提供可靠支持。該產品符合科研級抗體標準,適用于基礎醫學、病理機制探索等非臨床領域,為B細胞相關研究提供高特異性解決方案。
-
產品名稱:Mouse anti-Homo sapiens (Human) MS4A1 Monoclonal antibody
-
Uniprot No.:
-
基因名:
-
別名:MS4A1; CD20; B-lymphocyte antigen CD20; B-lymphocyte surface antigen B1; Bp35; Leukocyte surface antigen Leu-16; Membrane-spanning 4-domains subfamily A member 1; CD antigen CD20
-
宿主:Mouse
-
反應種屬:Human
-
免疫原:Synthesized peptide derived from human CD20
-
免疫原種屬:Homo sapiens (Human)
-
標記方式:Non-conjugated
-
克隆類型:Monoclonal
-
抗體亞型:IgG1, Kappa
-
純化方式:The antibody was affinity-purified from mouse ascites by affinity-chromatography using specific immunogen.
-
克隆號:24C10
-
濃度:It differs from different batches. Please contact us to confirm it.
-
保存緩沖液:Liquid in PBS containing 50% glycerol, 0.5% BSA and 0.02% sodium azide.
-
產品提供形式:Liquid
-
應用范圍:ELISA, IHC
-
推薦稀釋比:
Application Recommended Dilution IHC 1:20-1:200 -
Protocols:
-
儲存條件:Upon receipt, store at -20°C or -80°C. Avoid repeated freeze.
-
貨期:Basically, we can dispatch the products out in 1-3 working days after receiving your orders. Delivery time maybe differs from different purchasing way or location, please kindly consult your local distributors for specific delivery time.
-
用途:For Research Use Only. Not for use in diagnostic or therapeutic procedures.
相關產品
靶點詳情
-
功能:B-lymphocyte-specific membrane protein that plays a role in the regulation of cellular calcium influx necessary for the development, differentiation, and activation of B-lymphocytes. Functions as a store-operated calcium (SOC) channel component promoting calcium influx after activation by the B-cell receptor/BCR.
-
基因功能參考文獻:
- Our study found that a small subset of papillary thyroid carcinomas (<10%, mainly of classic variant) exhibited aberrant membranous expression of CD20 PMID: 29079175
- Our results support the fact that CD200 can be added to routine Chronic lymphoproliferative disorders panel as it is useful in subcategorizing them. However, inclusion of CD20 ABC to routine panel does not seem plausible but may be done for difficult diagnostic cases or where anti-CD20 therapy is planned. PMID: 29567884
- showed here that 3' UTR NOTCH1 mutations are associated with low CD20 expression and with relative resistance to anti-CD20 immunotherapy in vitro PMID: 28550186
- We conclude that the relationship between complement-regulatory proteins CFHR1 and CFHR3 and response to anti-CD20 mAb therapy varies based on the specific anti-CD20 mAb used. PMID: 27528699
- Limiting the antibody-induced induction of immunosuppressive reactive oxygen species may improve the anti-leukemic efficacy of anti-CD20 therapy in chronic lymphocytic leukemia. PMID: 27097113
- Case Report: primary cutaneous T-cell lymphoma with aberrant CD20 expression. PMID: 27840885
- Data suggest that insulitis (destruction of pancreatic beta-cells and their ability to produce/secrete insulin) occurs in two distinct profiles in type 1 diabetes; these differ in proportion of CD20-positive B-lymphocytes (relative to CD4-positive T-lymphocytes) present within the infiltrate; greater infiltration of CD20-positive B-lymphocytes leads to more aggressive disease progression. PMID: 26858360
- PZ-DHA also arrested MDA-MB-231 cell division at the G2/M phase and down-regulated expression of cyclin B1 and cyclin-dependent kinase 1 (CDK1) PMID: 27535497
- there is a high CD23a/CD23b ratio of chronic lymphocytic leukemia cells, which demonstrates that in a subset of CLL cases, low CD23 expression together with high CD20 and CD38 expressions may serve as a surrogate for trisomy 12 PMID: 26119874
- IL-17-producing pathogenic T lymphocytes co-express CD20 in primary Sjogren's syndrome patients. PMID: 26814615
- Studies indicate that CD20 antigen expression is absent in a variety of diffuse large B cell lymphomas (DLBCLs), including plasmablastic lymphoma, primary effusion lymphoma, anaplastic lymphoma, kinase-positive DLBCL, and large B cell lymphoma arising in human herpesvirus 8-associated multicentric Castleman disease. PMID: 26459310
- lipid formulations based on a polyplex or lipoplex backbone additionally equipped with anti-CD20 antibodies are promising non-viral vectors for specific oligonucleotide transfer into human tumor cells. PMID: 26585505
- The ABC values obtained for CD20 expression levels using PE, APC, or PerCP Cy5.5 are consistent over the five different instrument platforms for any given apparently healthy donor independent of the fluorochrome used PMID: 26013593
- Data indicate that Philadelphia chromosome-positive (Ph-positive) acute lymphoblastic leukemia (ALL) patients who presented with cyclin dependent kinase inhibitor 2A/B (CDKN2A/B) deletion showed a higher rate of CD20 antigen expression. PMID: 27090891
- the findings demonstrate that treatment with anti-CD20-hIFNalpha reverses resistance of B-NHL PMID: 26398317
- Case Report: aberrant CD20 expression by skin-infiltrating T cells using multispectral imaging. PMID: 26381030
- Microenvironment CD20 + cells seem to play a favorable prognostic role in classical Hodgkin Lymphoma. Depletion of CD20 + cells together with an increase of TAMs identifies a group of patients with high-risk disease. PMID: 25098425
- In conclusion, SNPs of CD20 were not high risk factors of DLBCL, but the T allele of rs2070770 was a potential indicator of superior survival. PMID: 24898664
- Characterize premature human NK/T-cell lymphoma cell line with expression of the B-cell marker CD20. PMID: 26299072
- Data indicate that CD20 antigen downregulation relies on transcriptional mechanisms in SRC family kinases (SFKs)-dependent transcriptional regulation of CD20. PMID: 25517315
- This study identified a novel D393-CD20-derived MHC Class II restricted epitopes that bind various HLA-DR alleles. IFN-gamma-producing D393-CD20 specific CD4 T cell responses were detected in blood lymphocytes from lymphoma patients and D393-CD20 specific CD4 Th1 clones were able to recognize both lymphoma cell lines and autologous lymphoma cells and to induce their apoptosis. PMID: 25449106
- Letter/Review: Liver transplant recipients developing CD20-positive lymphoproliferative lesions are significantly older at time of transplantation. PMID: 25394454
- CD20 in multiple myeloma without the t(11;14) may have a role in poor prognosis and aberrant expression of Wnt signaling PMID: 24408089
- in two cases of mycosis fungoides, CD20 was expressed by a significant population of the neoplastic T-cells, but these T-cells lacked expression of other B-cell markers, including CD79a, CD19 and PAX5. PMID: 24467775
- Data indicate that depletion of CD20-expressing T cells may also contribute to the therapeutic effect of rituximab (RTX). PMID: 24928997
- Significantly lower rates of CD20 B cells were found in women with placental malaria infections compared with those without such infections. Neither placental malaria infection nor CD20 are associated with low birth weight. PMID: 24245949
- Expansion aggregation of CD20+ B cells, HLA-DR expression and arteriolar hyaline thickening influence the outcome of acute cellular rejection in renal allograft. PMID: 23428174
- Patients whose percentage of CD20 antigen was above 60.3% had longer treatment-free survival. PMID: 23659384
- CD20 protein was aberrantly expressed in T-mycosis fungoides lesions PMID: 24145652
- MS4A1/CD20 is responsible for TGF-beta-induced apoptosis of B-cell lymphoma cells. Moreover, downregulation of MS4A1/CD20 by TGF-beta attenuated the effects of the monoclonal anti-MS4A1/CD20 antibody, rituximab, on Ramos cells. PMID: 22665052
- Anti-hCD20 IgE antibodies have in vitro cytotoxic activity. PMID: 22692757
- Case Report: CD20-positive NK/T-cell lymphoma with an indolent clinical course. PMID: 23031227
- CD20 antigen is not expressed in cancer stem cells in multiple myeloma. PMID: 22315496
- CD20 expression in B-cell precursor acute lymphoblastic leukemia is common in Mexican patients and lacks a prognostic value. PMID: 22664043
- Data indicate that the bridging of CD20 antigen and FcgammaRIIIa is an essential interaction for the initiation of antibody dependent cell-mediated cytotoxicity (ADCC) activity and assay. PMID: 22914441
- CD20-positive posttransplant lymphoproliferative disorder lesions in kidney transplant patients are significantly more likely to develop early after transplant and represent an inferior outcome. PMID: 22758374
- Data show that in the blood of rheumatoid arthritis (RA) patients, a greater proportion of Th17 cells are of a CD20+ phenotype compared to healthy individuals, suggesting these cells may represent an additional target for anti-CD20 therapies. PMID: 22171710
- Prenyltransferases regulate CD20 protein levels and influence anti-CD20 monoclonal antibody-mediated activation of complement-dependent cytotoxicity PMID: 22843692
- Dsta show that differential expression of MS4A1 is a stromal signal of uncertain significance, and an example of the rationale for tumor cell enrichment in preparation for gene expression studies to identify markers of particular tumor phenotypes. PMID: 22514692
- Report disappointing results after long term treatment of lupus nephritis with anti-CD20 antibody rituximab. PMID: 21258801
- B-cell depletion induces transient aggressive behavior in BDC2.5 diabetogenic T cells and reduction in regulatory T (Treg) cell number and function during the B-cell depletion period. PMID: 22490442
- Defects in CD20/ B-cell receptors signalosome conformation might predispose to the spectrum of common variable immunodeficiency disorders. PMID: 22130422
- Activation of human B cells mediated through two distinct cell surface differentiation antigens, Bp35 and Bp50. PMID: 22517865
- Results suggest for the clinical utility of CD20-specific T cells in B cell malignancies. PMID: 21630262
- Case Report: obtained good results in 2 high-titer ABO-incompatible living donor kidney transplantation using anti-CD20 and anti-CD25 antibodies without splenectomy, in conjunction with a calcineurin inhibitor plus mycophenolate mofetil or mizoribine. PMID: 21839272
- Using protein tomography, different CD20 complexes were found to be associated with the 2 antibodies, and confocal microscopy showed different membrane compartmentalization of these subpopulations of the cellular CD20 pool. PMID: 21444918
- The neoplastic epithelial cells in cases of type A and type AB thymoma, as well as few cases of type B1 and B2 thymoma, express CD20. PMID: 21092589
- Adoptively T cells transduced anti-CD20scFvFc/CD28/CD3zeta gene mediates enhanced anti-tumor activities against CD20 positive tumor cells, suggesting a potential of gene-based immunotherapy for non-Hodgkin lymphoma. PMID: 20815894
- Quantification of CD20 mRNA and protein levels in chronic lymphocytic leukemia suggests a post-transcriptional defect. PMID: 20674973
- CD20 immunoexpresion in early rheumatoid arthritis synovium. PMID: 20191119
顯示更多
收起更多
-
相關疾病:Immunodeficiency, common variable, 5 (CVID5)
-
亞細胞定位:Cell membrane; Multi-pass membrane protein. Cell membrane; Lipid-anchor.
-
蛋白家族:MS4A family
-
組織特異性:Expressed on B-cells.
-
數據庫鏈接:
Most popular with customers
-
-
YWHAB Recombinant Monoclonal Antibody
Applications: ELISA, WB, IHC, IF, FC
Species Reactivity: Human, Mouse, Rat
-
Phospho-YAP1 (S127) Recombinant Monoclonal Antibody
Applications: ELISA, WB, IHC
Species Reactivity: Human
-
-
-
-
-















