KRT5/KRT6A Monoclonal Antibody
-
中文名稱:KRT5/KRT6A鼠單克隆抗體
-
貨號:CSB-MA898464
-
規格:¥1320
-
圖片:
-
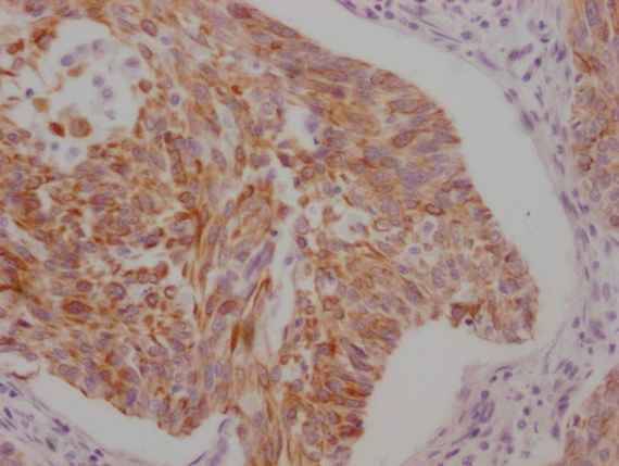
IHC image of CSB-MA898464 diluted at 1:100 and staining in paraffin-embedded human cervical cancer performed on a Leica BondTM system. After dewaxing and hydration, antigen retrieval was mediated by high pressure in a citrate buffer (pH 6.0). Section was blocked with 10% normal goat serum 30min at RT. Then primary antibody (1% BSA) was incubated at 4°C overnight. The primary is detected by a Goat anti-mouse IgG polymer labeled by HRP and visualized using 0.05% DAB.
-
IHC image of CSB-MA898464 diluted at 1:100 and staining in paraffin-embedded human tonsil tissue performed on a Leica BondTM system. After dewaxing and hydration, antigen retrieval was mediated by high pressure in a citrate buffer (pH 6.0). Section was blocked with 10% normal goat serum 30min at RT. Then primary antibody (1% BSA) was incubated at 4°C overnight. The primary is detected by a Goat anti-mouse IgG polymer labeled by HRP and visualized using 0.05% DAB.
-
-
其他:
產品詳情
-
產品描述:KRT5/KRT6A單克隆抗體(CUSABIO貨號:CSB-MA898464)是一款人源特異性的高特異性科研試劑,靶向角蛋白家族成員KRT5和KRT6A。該抗體經ELISA和免疫組化(IHC)雙重驗證,適用于上皮細胞生物學研究及病理機制探索。KRT5作為基底細胞標志物,與KRT6A共同構成細胞骨架中間絲,在維持上皮組織完整性、細胞應激響應及損傷修復中發揮關鍵作用。實驗數據顯示該抗體能精準識別天然構象抗原表位,適用于皮膚組織切片分析、腫瘤基底細胞標記、上皮源性細胞分化追蹤等研究場景。在增生性皮膚病模型、食管鱗狀上皮病變等科研領域中,該試劑可為上皮屏障功能研究、細胞角蛋白表達調控機制解析提供可靠工具。產品采用雜交瘤技術制備,批間穩定性優異,滿足多種實驗體系需求,是研究上皮細胞生物學和病理機制的理想選擇。
-
Uniprot No.:
-
宿主:Mouse
-
反應種屬:Human
-
免疫原:Synthesized peptide derived from human Cytokeratin 5/6
-
免疫原種屬:Homo sapiens (Human)
-
標記方式:Non-conjugated
-
克隆類型:Monoclonal
-
抗體亞型:IgG1, Kappa
-
純化方式:The antibody was affinity-purified from mouse ascites by affinity-chromatography using specific immunogen.
-
克隆號:30B12
-
濃度:It differs from different batches. Please contact us to confirm it.
-
保存緩沖液:Liquid in PBS containing 50% glycerol, 0.5% BSA and 0.02% sodium azide.
-
產品提供形式:Liquid
-
應用范圍:ELISA, IHC
-
推薦稀釋比:
Application Recommended Dilution IHC 1:20-1:200 -
Protocols:
-
儲存條件:Upon receipt, store at -20°C or -80°C. Avoid repeated freeze.
-
貨期:Basically, we can dispatch the products out in 1-3 working days after receiving your orders. Delivery time maybe differs from different purchasing way or location, please kindly consult your local distributors for specific delivery time.
-
用途:For Research Use Only. Not for use in diagnostic or therapeutic procedures.
Most popular with customers
-
-
YWHAB Recombinant Monoclonal Antibody
Applications: ELISA, WB, IHC, IF, FC
Species Reactivity: Human, Mouse, Rat
-
Phospho-YAP1 (S127) Recombinant Monoclonal Antibody
Applications: ELISA, WB, IHC
Species Reactivity: Human
-
-
-
-
-















