FTL Monoclonal Antibody
-
中文名稱:FTL Monoclonal Antibody
-
貨號:CSB-MA042757
-
規格:¥1320
-
圖片:
-
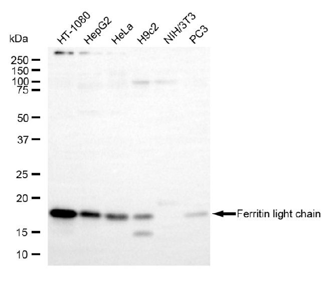
Western blotting analysis using ferritin light chain antibody. Total cell lysates (30 μg) from various cell lines were loaded and separated by SDS-PAGE. The blot was incubated with ferritin light chain antibody and HRP-conjugated goat anti-mouse secondary antibody respectively.
-
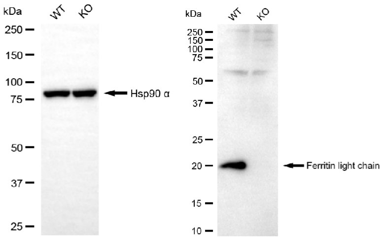
Western blotting analysis using ferritin light chain antibody. Ferritin light chain expression in wild type (WT) and ferritin light chain (FTL) knockout (KO) HSHC cells with 40 μg of total cell lysates. Hsp90 α serves as a loading control. The blot was incubated with ferritin light chain antibody and HRP-conjugated goat anti-mouse secondary antibody respectively.
-
-
其他:
產品詳情
-
產品名稱:Mouse anti-Homo sapiens (Human) FTL Monoclonal antibody
-
Uniprot No.:
-
基因名:
-
別名:FTL; Ferritin Light Chain; Ferritin L Subunit; NBIA3; FTL1; Ferritin Light Polypeptide-Like 3; Ferritin, Light Polypeptide; Ferritin L-Chain; MGC71996; Neurodegeneration With Brain Iron Accumulation 3; Epididymis Secretory Sperm Binding Protein; L Apoferritin; LFTD
-
宿主:Mouse
-
反應種屬:Human, Rat
-
免疫原:Recombinant Human FTL protein
-
免疫原種屬:Homo sapiens (Human)
-
標記方式:Non-conjugated
-
克隆類型:Monoclonal
-
抗體亞型:Mouse IgG1
-
純化方式:Affinity-chromatography
-
克隆號:7C4
-
濃度:It differs from different batches. Please contact us to confirm it.
-
保存緩沖液:PBS (pH 7.4) containing 50% glycerol, and 0.02% sodium azide.
-
產品提供形式:Liquid
-
應用范圍:ELISA, WB
-
推薦稀釋比:
Application Recommended Dilution WB 1:400-1:2000 -
Protocols:
-
儲存條件:Upon receipt, store at -20°C or -80°C. Avoid repeated freeze.
-
貨期:Basically, we can dispatch the products out in 1-3 working days after receiving your orders. Delivery time maybe differs from different purchasing way or location, please kindly consult your local distributors for specific delivery time.
-
用途:For Research Use Only. Not for use in diagnostic or therapeutic procedures.
相關產品
靶點詳情
-
功能:Stores iron in a soluble, non-toxic, readily available form. Important for iron homeostasis. Iron is taken up in the ferrous form and deposited as ferric hydroxides after oxidation. Also plays a role in delivery of iron to cells. Mediates iron uptake in capsule cells of the developing kidney.
-
基因功能參考文獻:
- Mossbauer spectra of human liver ferritin and its pharmaceutical analogues Ferrum Lek and Maltofer(R) measured at various temperatures, are reported. PMID: 27372204
- Determining serum ferritin is a convenient and nonexpensive method to determine the outcome of the treatment of the cases with oral squamous cell carcinoma . Its potential as prognostic marker could not be overlooked PMID: 28862225
- The functional significance of the observed patch of carboxylate side chains and resulting metallocluster for biomineralization emerges from the lower iron oxidation rate measured in the E60AE61AE64A variant of human L-ferritin, leading to the proposal that the observed metallocluster corresponds to the suggested, but yet unobserved, nucleation site of L-ferritin PMID: 28202724
- The clinical measurement of ferritin in cerebrospinal fluid is a better biomarker than serum levels of ferritin for diagnosing and assessing the progression of amyotrophic lateral sclerosis patients. PMID: 27804118
- Our patient's transferrin saturation was 27% and HFE analysis revealed that she had neither H63D nor C282Y mutations that are known to predispose to hemochromatosis. Besides being an iron storage protein, ferritin is also one of the so-called acute phase proteins PMID: 28636169
- This is the first Australian report of the c.-167 C>T mutation in a large family with multiple affected individuals. PMID: 27096259
- Baseline serum ferritin (SF) did not influence bloodstream infections (BSIs), but higher levels resulted in more invasive fungal infections (IFIs) PMID: 28585071
- High serum ferritin expression is associated with metabolic syndrome. PMID: 27390880
- Hepatitis E virus ORF1 encoded macro domain protein interacts with light chain subunit of human ferritin and inhibits its secretion. PMID: 27170377
- indicate an important role of ferritin light chains in neurodegeneration PMID: 26994418
- This study demostrated that FTL mutation progressive brain iron dysregulation, morphological signs of early neurodegeneration and motor coordination deficits show PMID: 25447222
- FTL expression was higher in glioblastoma than in low-grade glioma, and decreased expression of FTL correlated with increased survival in glioblastoma patients. PMID: 26871431
- FTL gene mutation and persistent hyperferritinemia without iron deficiency anemia after phlebotomy PMID: 25720123
- Ferritin plasma levels increased significantly following stem cell transplantation in graft rejection patients. PMID: 26611853
- Single nucleotide polymorphisms in HAMP, BMP2, FTL and SLC40A1 genes have phenotype-modifying roles in hereditary hemochromatosis type 1. PMID: 25976471
- Genome-wide association study identifies variants in PMS1 associated with serum ferritin in a Chinese population. PMID: 25162662
- Urine ferritin levels are elevated significantly in systemic lupus erythematosus and correlate with disease activity. PMID: 22871034
- findings expand the genetic and clinical diversity of neuroferritinopathy and suggest CSF ferritin levels as a novel potential biochemical marker for the diagnosis of neuroferritinopathy. PMID: 24825732
- Plasma hepcidin-25 and ferritin light chain levels correlate with a malignant breast cancer diagnosis. PMID: 24306042
- provide a new mechanism for selective autophagy of ferritin and reveal a previously unappreciated role for autophagy and NCOA4 in the control of iron homeostasis in vivo PMID: 25327288
- Genetic testing confirmed the diagnosis of hereditary hyperferritinemia cataract syndrome (HHCS), demonstrating a C39>G (c.-161C>G) mutation into FTL gene. PMID: 24983587
- A c.-171C>G mutation in the iron-regulatory element of FTL was found in 2 members of a Spanish family with hyperferritinemia-cataract syndrome. PMID: 24022025
- Elevated cerebrospinal ferritin reliably (but unspecifically) indicates severe central nervous system disease. PMID: 24821637
- Through combining serum ferritin and MS spectral data, the diagnosis sensitivity and specificity of our model for prewarning severe aGVHD (III~IV degrees aGVHD) before transplant all increased to 90.0% PMID: 24195075
- Increased levels of ferritin light chain protein is associated with breast cancer. PMID: 23969999
- Together, our results suggest that iron can increase gamma-secretase activity through promoting the level of FTL that interacts with and stabilizes PEN-2 PMID: 23685131
- Elevated levels of ferritin are associated with type 2 diabetes mellitus. PMID: 23381919
- Data show the transcriptional regulation of the human ferritin gene by coordinated regulation of Nrf2 and protein arginine methyltransferases PRMT1 and PRMT4. PMID: 23699174
- Noncoding G-to-T transversion (c.-168G>T) located in the iron response element (IRE) of the gene coding for ferritin light chain (FTL) cosegregated with cataract in the family. PMID: 23592921
- The Badalona 36C > U and Heidelberg 52 G > C mutations within the L-ferritin Iron-Responsive Element only mildly alter the binding capacity of the Iron Regulatory Proteins but are still causative for hyperferritinaemia cataract syndrome. PMID: 23421845
- Elevation in ferritin is associated with response to trastuzumab in breast cancer. PMID: 23300545
- Plasma levels of FLT and S100A9 proteins are up-regulated and CNDP1 levels are down-regulated in patients with glioblastoma. PMID: 23029420
- data demonstrate an enhanced propensity of mutant ferritin to undergo iron-catalyzed oxidative damage and support this as a mechanism causing disruption of ferritin structure and iron mishandling that contribute to pathology of hereditary ferritinopathy PMID: 22348978
- Two novel missense L-ferritin variants are associated with hyperglycosylation, p.Gln26Ile and p.Ala27Val, and with benign hyperferritinemia in two unrelated patients. PMID: 22535864
- High ferritin is associated with poor treatment response in hematological neoplasms. PMID: 22248276
- The data strongly suggest that FTL and SCCA1 may serve as coreceptors in HBV cellular attachment and virus entry into hepatocytes. PMID: 22359459
- Molecular genetic analysis revealed point mutations within the FTL IRE. PMID: 22020773
- genetic variations in the HFE gene, but not plasma ferritin may have a role in coronary heart disease in Chinese PMID: 21696736
- Genetic analysis revealed mutation G32A in Pedigree 1 and mutation G32T in Pedigree 2, both heterozygous and located in the iron-responsive element of the ferritin light chain mRNA in hyperferritinemia cataract syndrome. PMID: 21907119
- FTL is a target gene of the BACH1 transcription factor according to ChIP-seq analysis in HEK 293 cells. PMID: 21555518
- In the family with hyperferritinemia cataract syndrome a G-->C heterozygous mutation at position +32 of FTL was identified. PMID: 21541272
- Somatic mutations in the iron response elements (IRE) of the L-ferritin gene are infrequent in the age-related cataract. PMID: 21139976
- This protein has been found differentially expressed in thalami from patients with schizophrenia. PMID: 20471030
- Toluene diisocyanate (TDI) regulates haem oxygenase-1/ferritin expression: implications for toluene diisocyanate-induced asthma. PMID: 20345975
- biochemical and crystallographic characterization of pathogenic FTL mutant p.Phe167SerfsX26 showing that it is a functional ferritin with an altered conformation of the C terminus PMID: 20159981
- This protein has been found differentially expressed in the anterior cingulate cortex from patients with schizophrenia PMID: 20381070
- indicate that cellular iron imbalance and oxidative damage produced by the over-expression in of two pathogenic L-ferritin variants are primary causes of cell death, while aggregate formation is a secondary effect PMID: 19781644
- the x-ray crystallographic structure and report functional studies of ferritin homopolymers formed from the mutant FTL polypeptide PMID: 19923220
- Finding not only supports direct evidence for a regulatory role of L-ferritin in neuroectodermal cell pigmentation but also integrates a new player within a complicated network governing iron homeostasis in the dopamine neurons of substantia nigra. PMID: 19318681
- The genetic defects in the FTL gene are unlikely to be a common cause of typical PD, at least in a North America population. PMID: 12459518
顯示更多
收起更多
-
相關疾病:Hyperferritinemia with or without cataract (HRFTC); Neurodegeneration with brain iron accumulation 3 (NBIA3); L-ferritin deficiency (LFTD)
-
蛋白家族:Ferritin family
-
數據庫鏈接:
Most popular with customers
-
YWHAB Recombinant Monoclonal Antibody
Applications: ELISA, WB, IHC, IF, FC
Species Reactivity: Human, Mouse, Rat
-
Phospho-YAP1 (S127) Recombinant Monoclonal Antibody
Applications: ELISA, WB, IHC
Species Reactivity: Human
-
-
-
-
-
-















