COL1A1 Monoclonal Antibody
-
中文名稱:COL1A1鼠單克隆抗體
-
貨號:CSB-MA317506
-
規格:¥1090
-
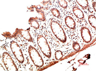
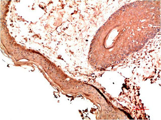
圖片:
-
其他:
產品詳情
-
產品描述:CUSABIO貨號:CSB-MA317506 COL1A1單克隆抗體是一款靶向I型膠原蛋白α1鏈的高特異性科研試劑,適用于人、小鼠及大鼠樣本的ELISA和免疫組化(IHC)檢測。作為細胞外基質核心成分,COL1A1在組織纖維化、創傷修復及腫瘤微環境調控中發揮關鍵作用,其異常表達與肝纖維化、肺纖維化及骨代謝疾病等病理過程密切相關。本產品采用雜交瘤技術制備,具有嚴格的種屬交叉反應驗證,可精準識別天然構象的COL1A1蛋白,特別適用于骨基質形成研究、皮膚纖維化模型分析以及腫瘤微環境中膠原沉積的動態觀察。在應用場景上,該抗體可支持體外ELISA定量檢測細胞培養上清或組織裂解液中的COL1A1含量,同時滿足石蠟包埋組織的IHC染色需求,為心血管疾病機制研究、再生醫學領域的膠原重塑分析提供可靠工具。其穩定的批間一致性及廣泛的模型適用性,使之成為結締組織病理研究、抗纖維化藥物開發等科研項目的優選試劑。
-
Uniprot No.:
-
基因名:
-
別名:Alpha 1 type I collagen antibody; Alpha 2 type I collagen antibody; alpha 2 type I procollagen antibody; alpha 2(I) procollagen antibody; alpha 2(I)-collagen antibody; Alpha-1 type I collagen antibody; alpha1(I) procollagen antibody; CO1A1_HUMAN antibody; COL1A1 antibody; COL1A2 antibody; collagen alpha 1 chain type I antibody; Collagen alpha-1(I) chain antibody; collagen alpha-1(I) chain preproprotein antibody; Collagen I alpha 1 polypeptide antibody; Collagen I alpha 2 polypeptide antibody; collagen of skin; tendon and bone; alpha-1 chain antibody; collagen of skin; tendon and bone; alpha-2 chain antibody; Collagen type I alpha 1 antibody; Collagen type I alpha 2 antibody; EDSC antibody; OI1 antibody; OI2 antibody; OI3 antibody; OI4 antibody; pro-alpha-1 collagen type 1 antibody; type I proalpha 1 antibody; type I procollagen alpha 1 chain antibody; Type I procollagen antibody
-
宿主:Mouse
-
反應種屬:Human,Mouse,Rat
-
免疫原:Synthetic Peptide of Collagen I
-
免疫原種屬:Homo sapiens (Human)
-
標記方式:Non-conjugated
-
純化方式:The antibody was affinity-purified from mouse ascites by affinity-chromatography using specific immunogen.
-
克隆號:30E10
-
濃度:It differs from different batches. Please contact us to confirm it.
-
保存緩沖液:Liquid in PBS containing 50% glycerol, 0.5% BSA and 0.02% sodium azide.
-
產品提供形式:Liquid
-
應用范圍:ELISA,IHC
-
推薦稀釋比:
Application Recommended Dilution IHC 1:50-1:200 -
Protocols:
-
儲存條件:Upon receipt, store at -20°C or -80°C. Avoid repeated freeze.
-
貨期:Basically, we can dispatch the products out in 1-3 working days after receiving your orders. Delivery time maybe differs from different purchasing way or location, please kindly consult your local distributors for specific delivery time.
-
用途:For Research Use Only. Not for use in diagnostic or therapeutic procedures.
相關產品
靶點詳情
-
功能:Type I collagen is a member of group I collagen (fibrillar forming collagen).
-
基因功能參考文獻:
- results strengthen the evidence for the association between polymorphisms of -1997 G/T, +1245 G/T of the COL1A1 gene in the genetic etiology of keloid scars PMID: 27511505
- Structural basis of homo- and heterotrimerization of COL1A1/ COL1A2 has been reported. PMID: 28281531
- patients with OI have homogenously thinner corneas compared with controls, we observed that a collagen I chain mutation was not responsible for corneal curvature alterations in OI. PMID: 30272615
- Our findings demonstrate that collagen I could enhance the aggressive progression of residual hepatocellular carcinoma cells after suboptimal heat treatment and sorafenib may be a treatment approach to thwart this process. PMID: 30227844
- Cellular expression of COL1A1 could promote breast cancer metastasis. COL1A1 is a new prognostic biomarker and a potential therapeutic target for breast cancer, especially in ER+ patients. PMID: 29906404
- miR-129-5p level was decreased in fibrotic liver of human, and reduced by rOPN treatment. In contrast, miR-129-5p was induced in HSCs transfected by OPN siRNA. These data suggested that OPN induces Col 1 expression via suppression of miR-129-5p in hepatic stellate cells. PMID: 29196165
- Depletion of MRTF-A abolished the upregulation of COL1A1 in response to the TGF-beta or Wnt signaling. PMID: 29807221
- Mutations in the COL1A1 and COL1A2 genes associated with osteogenesis imperfecta (OI) types I or III. PMID: 29543922
- DNMT1 was downregulated in the Lung Cancer group and its expression was further reduced in the presence of increasing malignant burden as indicated by the endobronchial findings further suggesting an Lung Cancer-specific signature. PMID: 29568927
- our results indicated that COL1A1 promotes tumor metastasis, and that its inhibition may suppress CRC cell migration. In addition, the role of COL1A1 in CRC metastasis seems to be associated with the regulation of the WNT/PCP pathway. PMID: 29393423
- miR378b represses the mRNA expression levels of COL1A1 via interference with SIRT6 in human dermal fibroblasts. PMID: 28983623
- Exogenous proline stimulates type I collagen and HIF-1alpha expression and the process is attenuated by glutamine in human skin fibroblasts. PMID: 28526934
- the efficacy of pamidronate treatment does not seem to be related to the genotype of type I collagen in patients with osteogenesis imperfecta. PMID: 28528406
- High urine collagen is associated with renal dysfunction in lupus nephritis. PMID: 28339802
- MiR-133a-3p could inhibit the proliferation and migration of oral squamous cell carcinoma cells through directly targeting COL1A1 and reducing its expression. PMID: 28569392
- COL1A1 gene mutation is associated with osteogenesis imperfecta. PMID: 28810924
- Elevation of serum alpha1(I) collagen DNA levels in scleroderma patients may be useful as the diagnostic marker, reflecting the presence of vasculopathy. PMID: 28370352
- study showed that GG homozygotes were underrepresented in the ACL-rupture group compared with the control group, which suggests an association with reduced risk of anterior cruciate ligament injury PMID: 27632864
- Review/Meta-analysis: possible relationship between GG genotype of COL1A1 +1245G/T polymorphism and osteoporosis risk in post-menopausal women. PMID: 28261929
- These results support an activation mechanism of DDR1 whereby collagen induces lateral association of DDR1 dimers and phosphorylation between dimers. PMID: 28590245
- This study identified collagen gene sets related to self-reported depression scores in healthy participants. PMID: 28334615
- an endoplasmic reticulum complex of resident chaperones that includes HSP47, FKBP65, and BiP regulating the activity of LH2. PMID: 28177155
- Although serum procollagen type-1 N-terminal propeptide (PINP) levels were not found to be different, tartrate-resistant acid phosphatase type 5b isoform (TRACP 5b) levels were significantly higher in the control group. PMID: 27840329
- mutations of the COL1A1 and COL1A2 genes probably underlie the disease in the four families PMID: 28981938
- Our results indicated that COL1A1 rs1800012 polymorphism may be associated with the reduced risk of sports-related tendon or ligament injuries, especially in ACL injuries, and that rare TT may played as a protective role. PMID: 28206959
- Significance was detected for GG homozygous carriers (P=0.043); this genotype might be a risk factor for this type of low-density lesion (odds ratio 1.643, 95% confidence interval 1.016-2.658). PMID: 27371342
- Breast cancer cells alter the dynamics of stromal fibronectin-collagen interactions. PMID: 27503584
- COL1a1 crystal structure of fibronectin type III domain shows an immunoglobulin-like fold containing a beta-sandwich structure, which is formed by a three-stranded beta-sheet. PMID: 29199991
- Alterations in the extracellular matrix microenvironment, particularly type I collagen, likely contributes to bladder cancer progression. PMID: 27655672
- Strong correlations between the expression of type I, II, IV collagen and osteopontin and the clinical stage of tympanosclerosis indicate the involvement of these proteins in excessive fibrosis and pathological remodeling of the tympanic membrane. PMID: 29068597
- The results support the association of COL1A1 gene polymorphisms with fracture and with low BMD at the hip in Mexican population PMID: 26423565
- urinary N-telopeptide measured in early postmenopause is most strongly associated with rates of bone loss across the menopause transition. PMID: 27322414
- Abnormal regulation of COL1 and COL3 may contribute to the early predisposition to POP in premenopausal women. PMID: 27636223
- Genetic variation in COL1A1 and COL1A2 associated with osteogenesis imperfect in Vietnamese patients. PMID: 27519266
- 2 patients with osteogenesis imperfecta (father and daughter) had a previously undescribed c.3607C>T (p.Gln1203*) change in the COL1A1 gene. PMID: 27178384
- In the patient diagnosed with PCG and retinal detachment, analysis of WES data identified compound heterozygous variants in COL1A1 (p.Met264Leu; p.Ala1083Thr). PMID: 27484908
- These data, together with those available in literature, suggest that vascular events are not a diagnostic handle to differentiate patients with the p.(Arg312Cys) COL1A1 mutation from those with COL5A1 and COL5A2 defects, and highlight that during the diagnostic process the presence of at least the p.(Arg312Cys) substitution in COL1A1 should be investigated in cEDS patients without type V collagen mutations. PMID: 28102596
- we report an infant with severe OI born following a twin pregnancy in whom the bone disease is caused by a heterozygous pathogenic mutation, c.4160C >T, p.(Ala1387Val) located in the C-propeptide region of COL1A1. Our case adds to the growing evidence of the literature on mutations in the C-propeptide region being associated with a severe OI phenotype. PMID: 27549894
- We conducted a retrospective analysis of data from clinical, laboratory, and radiographic information from children evaluated for child abuse in which molecular testing for COL1A1 and COL1A2 genes was conducted. A total of 43 patients underwent molecular testing for Osteogenesis imperfecta (OI) PMID: 27090748
- our data revealed that COL1A1, UCP2, and PRPF40A are novel players implicated in the complex network of hypoxia response in non-small cell lung cancer PMID: 28258342
- In the individuals with a COL1A1 mutation, 70% (7/10) of those with a glycine substitution located C-terminal of p.Gly305 exhibited DGI in both dentitions while no individual (0/7) with a mutation N-terminal of this point exhibited DGI in either dentition PMID: 28498836
- Large COPII vesicles are transport carriers of intracellular carriers of procollagen I. PMID: 28428367
- we established a new regulatory model of COL1A1 regulation by HIF-1, and bring out its relationship with Sp3 transcription factor. In a fundamental level, these findings give insights in the mechanisms controlling COL1A1 gene expression. PMID: 27521280
- UBQLN4, APP, CTNNB1, SHBG, and COL1A1 might be involved in the development of nonalcoholic fatty liver disease, and are proposed as the potential markers for predicting the development of this condition PMID: 28796060
- The levels of the bone formation marker PICP in premenopausal rheumatoid arthritis women were significantly higher than in healthy premenopausal controls. There was a highly significant difference between postmenopausal patients with RA and control pre- and postmenopausal women. Furthermore, postmenopausal RA women had significantly higher plasma PICP concentrations than premenopausal women with RA PMID: 27775453
- Depletion of FKBP65 and inhibition of FKBP65 activity reduced the dimeric (active) form of LH2 but did not affect the binding of monomeric (inactive) LH2 to procollagen Ialpha1. PMID: 27298363
- This is the first study to quantitatively relate pressure-induced microstructural changes in resistance arteries to the mechanics of their wall. Principal findings using a pig model system were confirmed in human arteries. The combined methods provide a strong tool for future hypothesis-driven studies of microvascular pathologies. PMID: 28432057
- COL11A1 as a highly specific biomarker of activated cancer-associated fibroblasts in epithelial cancers. PMID: 27609069
- miR-29b can reduce collagen biosynthesis during skin wound healing likely via post-transcriptional inhibition of HSP47 expression. PMID: 27477081
- The study shows that circCOL3A1-859267 RNA regulate type I collagen expression in photoaged human dermal fibroblasts, suggesting it may be a novel target for interfering with photoaging. PMID: 28286269
顯示更多
收起更多
-
相關疾病:Caffey disease (CAFFD); Ehlers-Danlos syndrome, classic type (EDS); Ehlers-Danlos syndrome 7A (EDS7A); Osteogenesis imperfecta 1 (OI1); Osteogenesis imperfecta 2 (OI2); Osteogenesis imperfecta 3 (OI3); Osteogenesis imperfecta 4 (OI4); Osteoporosis (OSTEOP)
-
亞細胞定位:Secreted, extracellular space, extracellular matrix.
-
蛋白家族:Fibrillar collagen family
-
組織特異性:Forms the fibrils of tendon, ligaments and bones. In bones the fibrils are mineralized with calcium hydroxyapatite.
-
數據庫鏈接:
Most popular with customers
-
-
Phospho-YAP1 (S127) Recombinant Monoclonal Antibody
Applications: ELISA, WB, IHC
Species Reactivity: Human
-
-
-
-
-
-















