CLDN18 Monoclonal Antibody
-
中文名稱:CLDN18鼠單克隆抗體
-
貨號:CSB-MA148581
-
規格:¥1320
-
圖片:
-
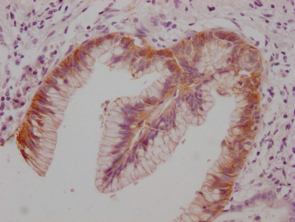
IHC image of CSB-MA148581 diluted at 1:100 and staining in paraffin-embedded human pancreatic cancer performed on a Leica BondTM system. After dewaxing and hydration, antigen retrieval was mediated by high pressure in a citrate buffer (pH 6.0). Section was blocked with 10% normal goat serum 30min at RT. Then primary antibody (1% BSA) was incubated at 4°C overnight. The primary is detected by a Goat anti-mouse IgG polymer labeled by HRP and visualized using 0.05% DAB.
-
-
其他:
產品詳情
-
產品描述:CLDN18單克隆抗體(CUSABIO貨號:CSB-MA148581)是針對緊密連接蛋白CLDN18靶點研發的高特異性科研試劑,該蛋白屬于跨膜緊密連接蛋白家族成員,在維持細胞極性及屏障功能中發揮關鍵作用,尤其在胃上皮細胞中呈現特異性高表達,其異常表達與胃癌等消化道腫瘤的發生發展密切相關。本產品采用雜交瘤技術制備,經ELISA和免疫組化(IHC)雙平臺驗證,可精準識別Human物種來源的CLDN18蛋白,適用于胃組織切片中蛋白定位分析、體外培養細胞模型檢測及蛋白質相互作用研究等場景。該抗體具有高批次穩定性與低交叉反應特性,能夠滿足腫瘤微環境研究、上皮細胞屏障功能機制探索等基礎科研需求,為消化道疾病分子機制研究提供可靠工具。作為CLDN18檢測領域的核心試劑,本產品可廣泛應用于胃癌生物標志物篩選、靶向藥物開發驗證及分子病理學等研究領域,關鍵詞涵蓋CLDN18抗體、胃癌研究抗體、緊密連接蛋白檢測試劑等。
-
產品名稱:Mouse anti-Homo sapiens (Human) CLDN18 Monoclonal antibody
-
Uniprot No.:
-
基因名:
-
別名:CLDN18; UNQ778/PRO1572; Claudin-18
-
宿主:Mouse
-
反應種屬:Human
-
免疫原:Synthesized peptide derived from human Claudin 18
-
免疫原種屬:Homo sapiens (Human)
-
標記方式:Non-conjugated
-
克隆類型:Monoclonal
-
抗體亞型:IgG1, Lambda
-
純化方式:The antibody was affinity-purified from mouse ascites by affinity-chromatography using specific immunogen.
-
克隆號:2F8
-
濃度:It differs from different batches. Please contact us to confirm it.
-
保存緩沖液:Liquid in PBS containing 50% glycerol, 0.5% BSA and 0.02% sodium azide.
-
產品提供形式:Liquid
-
應用范圍:ELISA, IHC
-
推薦稀釋比:
Application Recommended Dilution IHC 1:20-1:200 -
Protocols:
-
儲存條件:Upon receipt, store at -20°C or -80°C. Avoid repeated freeze.
-
貨期:Basically, we can dispatch the products out in 1-3 working days after receiving your orders. Delivery time maybe differs from different purchasing way or location, please kindly consult your local distributors for specific delivery time.
-
用途:For Research Use Only. Not for use in diagnostic or therapeutic procedures.
相關產品
靶點詳情
-
功能:Plays a major role in tight junction-specific obliteration of the intercellular space, through calcium-independent cell-adhesion activity.
-
基因功能參考文獻:
- In this study, we found downregulation of miR-767-3p and upregulation of CLDN18 in lung adenocarcinoma tissue and cell lines. PMID: 29169410
- CDH17 and CLDN18 are useful target molecules. Their coupling can aid in the comprehensive detection and localization of gastric cancer metastases in vivo to overcome challenges associated with intratumoral heterogeneity. PMID: 27580354
- Bile duct adenocarcinoma cells overexpress claudin-18 via the EGFR/RAS/ERK pathway, contributing to cell proliferation and invasion. PMID: 28624624
- The presented data substantiate the hypothesis that claudin-18 is a central barrier-forming component of tight junctions and show that IL-13 downregulates claudin-18. These data also suggest that the loss of claudin-18 is associated with increased sensitization to aeroantigens and airway responsiveness PMID: 27215490
- suggest that the reduction of CLDN5, 7, and 18 expression loses the suppressive ability of interaction between PDK1 and Akt and causes sustained phosphorylation of Akt, resulting in the disordered proliferation in lung squamous carcinoma cells PMID: 27884700
- Data suggest that claudin-18 suppresses the abnormal proliferation and motility of lung epithelial cells mediated by inhibition of phosphorylation of pyruvate dehydrogenase kinase isoform 1 (PDK1) and proto-oncogene protein c-akt (Akt). PMID: 26919807
- Human fetal lungs at 23-24 weeks gestational age, the highest-risk period for developing bronchopulmonary dysplasia, a disease of impaired alveolarization, had significantly lower CLDN18 expression relative to postnatal lungs. PMID: 24787463
- Evaluated expression of claudins in gastric cancer and determined their significance for patient outcome. Claudin-3 and claudin-7 were expressed in 25.4% and 29.9% of gastric cancer tissues; 51.5% of gastric cancer tissues had reduced claudin-18. PMID: 24333468
- High levels of CLDN18 are associated with non-small-cell lung cancer. PMID: 24710653
- Downregulation of miR-1303 can inhibit proliferation, migration and invasion of gastric cancer cells by targeting CLDN18. PMID: 24647998
- Claudin-18 positivity is a specific phenotype that is characteristic of intestinal-type Mucinous borderline tumours of the ovary PMID: 23905715
- Down-regulation of claudin-18 is associated with the proliferative and invasive potential of gastric cancer. PMID: 24073219
- rate of CLDN18.2 positivity is high in pancreatic neoplasms whereby the expression is not limited to the primaries but is also maintained upon metastasis PMID: 23900716
- Claudin 10/18 are most commonly expressed in lung adenocarcinomas. Female patients and non-smokers express these claudins more commonly suggesting that they may play a part in the carcinogenesis of tobacco unrelated carcinoma. PMID: 22076167
- Claudin 18 (a marker for early carcinogenesis) is commonly expressed in precursor lesions of pancreatic ductal adenocarcinomas. Activation of the protein kinase C pathway might be involved in claudin 18 expression associated with carcinogenesis. PMID: 21832145
- Cldn18 is primarily regulated at the transcriptional level via specific protein kinase C signaling pathways and modified by DNA methylation PMID: 21381080
- These results suggest that CLDN18 may play an important role in biliary carcinogenesis. PMID: 21607649
- High claudin 18 is associated with intraductal papillary mucinous neoplasms of the pancreas. PMID: 21206985
- We revealed that claudin-18 expression correlates with poor survival in patients with colorectal cancer and is associated with the gastric phenotype. PMID: 20846265
- Loss of claudin expression may enhance the grade of malignancy of gastric cancer in vivo. PMID: 17459057
- We conclude that Cldn-18 is the dominant claudin in the TJ of SCE and propose that the change from a Cldn-18-deficient TJ in SqE to a Cldn-18-rich TJ in SCE contributes to the greater acid resistance of BE. PMID: 17932229
- Indicate that the PKC/MAPK/AP-1 dependent pathway regulates claudin-18a2 expression in gastric cells. PMID: 18032479
- Claudin 18 and annexin A8 are frequently highly overexpressed in infiltrating ductal adenocarcinomas. PMID: 18223320
- Claudin 18 staining can aid in diagnosis of gastrointestinal signet ring cell carcinoma. PMID: 18580680
- Increased expression of claudin-18 is associated with colitis. PMID: 18831034
- CLDN18.2 as a novel, highly attractive pan-cancer target for the antibody therapy of epithelial tumors. PMID: 19047087
顯示更多
收起更多
-
亞細胞定位:Cell junction, tight junction. Cell membrane; Multi-pass membrane protein.
-
蛋白家族:Claudin family
-
組織特異性:Isoform A1: Expression is restricted to the lung. Isoform A2: Expression is restricted to the stomach mucosa where it is predominantly observed in the epithelial cells of the pit region and the base of the gastric glands including exocrine and endocrine c
-
數據庫鏈接:
Most popular with customers
-
-
YWHAB Recombinant Monoclonal Antibody
Applications: ELISA, WB, IHC, IF, FC
Species Reactivity: Human, Mouse, Rat
-
Phospho-YAP1 (S127) Recombinant Monoclonal Antibody
Applications: ELISA, WB, IHC
Species Reactivity: Human
-
-
-
-
-















