CD99 Monoclonal Antibody
-
中文名稱:CD99鼠單克隆抗體
-
貨號:CSB-MA153712
-
規格:¥1320
-
圖片:
-
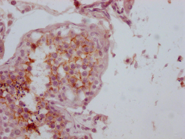
IHC image of CSB-MA153712 diluted at 1:100 and staining in paraffin-embedded human testis tissue performed on a Leica BondTM system. After dewaxing and hydration, antigen retrieval was mediated by high pressure in a citrate buffer (pH 6.0). Section was blocked with 10% normal goat serum 30min at RT. Then primary antibody (1% BSA) was incubated at 4°C overnight. The primary is detected by a Goat anti-mouse IgG polymer labeled by HRP and visualized using 0.05% DAB.
-
-
其他:
產品詳情
-
產品描述:CD99單克隆抗體(CUSABIO貨號:CSB-MA153712)針對人源CD99分子研發,該跨膜糖蛋白在免疫調控和細胞黏附中發揮重要作用,尤其與T細胞功能及腫瘤微環境研究密切相關。本產品采用雜交瘤技術制備,經ELISA和免疫組化(IHC)驗證,可特異性識別CD99抗原表位,適用于人源組織樣本的蛋白定位及表達水平分析。在科研應用中,該抗體廣泛用于腫瘤生物學研究,如尤文肉瘤等實體瘤的分子機制探索,同時支持免疫細胞功能相關實驗中的靶標檢測。其高親和力特性確保實驗結果的可靠性,為疾病模型構建和分子通路研究提供精準工具。本產品嚴格遵循科研用途標準,適用于實驗室級蛋白互作研究和病理學樣本分析,助力科研人員在癌癥免疫學及細胞信號轉導領域取得突破性進展。
-
產品名稱:Mouse anti-Homo sapiens (Human) CD99 Monoclonal antibody
-
Uniprot No.:
-
基因名:
-
別名:CD99; MIC2; MIC2X; MIC2Y; CD99 antigen; 12E7; E2 antigen; Protein MIC2; T-cell surface glycoprotein E2; CD antigen CD99
-
宿主:Mouse
-
反應種屬:Human
-
免疫原:Synthesized peptide derived from human CD99
-
免疫原種屬:Homo sapiens (Human)
-
標記方式:Non-conjugated
-
克隆類型:Monoclonal
-
抗體亞型:IgG
-
純化方式:The antibody was affinity-purified from mouse ascites by affinity-chromatography using specific immunogen.
-
克隆號:12D6
-
濃度:It differs from different batches. Please contact us to confirm it.
-
保存緩沖液:Liquid in PBS containing 50% glycerol, 0.5% BSA and 0.02% sodium azide.
-
產品提供形式:Liquid
-
應用范圍:ELISA, IHC
-
推薦稀釋比:
Application Recommended Dilution IHC 1:20-1:200 -
Protocols:
-
儲存條件:Upon receipt, store at -20°C or -80°C. Avoid repeated freeze.
-
貨期:Basically, we can dispatch the products out in 1-3 working days after receiving your orders. Delivery time maybe differs from different purchasing way or location, please kindly consult your local distributors for specific delivery time.
-
用途:For Research Use Only. Not for use in diagnostic or therapeutic procedures.
相關產品
靶點詳情
-
功能:Involved in T-cell adhesion processes and in spontaneous rosette formation with erythrocytes. Plays a role in a late step of leukocyte extravasation helping leukocytes to overcome the endothelial basement membrane. Acts at the same site as, but independently of, PECAM1. Involved in T-cell adhesion processes.
-
基因功能參考文獻:
- Besides confirming the importance of CD99, findings indicate that polymorphic variations in this gene may affect either development or progression of EWS. PMID: 27792997
- CD99 is a marker of acute myeloid leukemia and myelodysplastic syndrome stem cells PMID: 28123069
- CD99 expression is increased in patients with active Inflammatory bowel disease, and positively correlated with disease activity. PMID: 27866429
- CD99 counteracts EWS-FLI1 in controlling NF-kappaB signaling through the miR-34a, which is increased and secreted into exosomes released by CD99-silenced Ewing sarcoma cells. PMID: 26616853
- these observations suggest that CD99 is involved in the regulation of CD1a transcription and expression by increasing ATF-2. PMID: 27094031
- CD99 was also paranuclear positive in 4 of 11 (36%) small cell lung carcinomas PMID: 26782152
- High expression of EMMPRIN plays a crucial role in breast cancer cell proliferation, matrigel invasion and tumor formation. PMID: 27002769
- Data show that CD99 antigen expression increased during in vitro differentiation of germinal center B cells and was highest in plasma cells (PCs). PMID: 26522646
- Our results suggest that the CD34/CD25/CD123/CD99(+) LAIP is strictly associated with FLT3-ITD-positive cells. PMID: 25957287
- The results highlight an important role of CD99 in the differentiation and activity of human osteoblasts in physiological and pathological conditions. PMID: 26000312
- CD99 can suppress CD98-mediated assembly of pro-tumorigenic signaling complexes through its ability to dephosphorylate focal adhesion kinase. PMID: 26172215
- CD99 expression in astrocytomas of different malignant grades might contribute to the infiltrative ability and support the importance of CD99 as a potential target to reduce infiltrative astrocytoma capacity in migration and invasion. PMID: 24797829
- The dAbd C7 induced rapid and massive EWS cell death through Mdm2 degradation and p53 reactivation. Mdm2 overexpression as well as silencing of p53 in p53wt EWS cells decreased CD99-induced EWS cell death PMID: 25501132
- CD99 expression in nasal lobular capillary haemangioma. PMID: 24702676
- dermatofibromastrongly expresses CD99 in a diffuse pattern that may serve as evidence in distinction from dermatofibrosarcoma PMID: 24247571
- CD99 induces ERK activation, increasing its membrane-bound/cytoplasmic form rather than affecting its nuclear localization. PMID: 24677094
- The new antibody scFvC7 recognizes the CD99 extracellular domain. PMID: 22335486
- Report purification of human antibody scFv anti-CD99 for blocking monocyte transendothelial migration. PMID: 24798881
- Solid pseudopapillary neoplasm of the pancreas exhibits a very unique immunostaining pattern for CD99 that is present in all cases. PMID: 24094957
- we have shown that forced expression of wild-type CD99 in osteosarcoma cells induces downregulation of genes such as ROCK2 PMID: 23644663
- CXCL16, inversely correlated with CD99 expression in Hodgkin Reed-Sternberg (H/RS) cells. PMID: 23743627
- It is assumed that the expression of CD99 plays an important role in the pathogenesis of psoriasis, in the processes of emigration of leukocytes, and in their tropism toward to the epidermis PMID: 24341229
- we show that miR-30a-5p provides an essential link between EWS-FLI1 and CD99, two major biomarkers in Ewing sarcoma PMID: 22986530
- CD99 is highly expressed in anaplastic large-cell lymphoma, and showed high rate of co-expression with ALK. PMID: 22781601
- PVR resides in the recently identified lateral border recycling compartment, similar to PECAM and CD99. PMID: 23333754
- We report an unusual pattern of paranuclear dot-like expression of CD99 in 14 cases of Merkel cell carcinoma, two of which did not express CK20. PMID: 23145531
- CD99-induced HSP70 expression in B and T lymphocytes. PMID: 23152061
- Data suggest that CD99 expression in lymph node/germinal center biopsies at time of diagnosis is not prognostic marker for survival in patients with diffuse large B-cell lymphoma treated with rituximab-CHOP immunochemotherapy. PMID: 22864685
- the membrane protein CD99 was identified as a novel stromal factor with clinical relevance. The results support the concept that stromal properties have an important impact on tumour progression. PMID: 22392539
- upregulation of CD99 in H/RS cells induces terminal B-cell differentiation, which may provide a novel therapeutic strategies for cHL PMID: 22020966
- Platelet endothelial cell adhesion molecule-1 (PECAM-1/CD31) and CD99 are critical in lymphatic transmigration of human dendritic cells. PMID: 22189791
- NF-kappaB2 exhibits the major inhibitory role in the transcription at the CD99 promoter PMID: 22083306
- High CD99 is associated with central primitive neuroectodermal tumors and Ewing's sarcoma PMID: 21267687
- Data show that CD99 combined with E-cadherin/beta-catenin and CD10 can be used as a relatively specific expression profile of SPTs. PMID: 21775056
- Our study has identified for the first time that pancreatic solid-pseudopapillary neoplasm exhibits a unique dot-like staining pattern for CD99. PMID: 21566515
- CD99 positivity was significantly associated with advanced stage (p < 0.01), higher risk group according to the International Prognostic Index risk score (p < 0.01) and non-germinal center B cell-like type (p = 0.01). PMID: 21196719
- Protein expression and gene promoter hypermethylation of CD99 in transitional cell carcinoma of urinary bladder PMID: 20217126
- CD99 showed no preferential staining of Atypical fibroxanthoma, spindle cell malignant melanoma or sarcomatoid carcinoma/spindle cell squamous cell carcinoma PMID: 20184665
- CD99 may play a physiologic role in the clonal deletion processes necessary for B-lymphoid selection PMID: 20453109
- Analysis of a panel of human EWS cells revealed an inverse correlation between CD99 and H-neurofilament expression, as well as an inverse correlation between neural differentiation and oncogenic transformation. PMID: 20197622
- Results suggest that type I is the major isoform of CD99 expressed in non-neoplastic gastric mucosa and gastric adenocarcinomas. PMID: 12172043
- Functional involvement of src and focal adhesion kinase in a CD99 splice variant-induced motility of human breast cancer cells PMID: 12216109
- engagement triggers the exocytic transport of ganglioside GM1 and the reorganization of actin cytoskeleton PMID: 12681511
- inhibition by MHC class I engagement or apoptosis and upregulation of T cell receptor and MHC molecules in human thymocytes and T cell line induced by CD99 PMID: 12832073
- CD99 epitopes plays a distinct role in T cell biology, especially in T cell apoptosis. PMID: 14623115
- CD99 type II acts as a negative regulator in the neural differentiation of precursor cells that might occur during nerve system development PMID: 14646598
- Solitary sclerotic fibroma is a fibrotic lesion with cells positive for CD34 and O13. O13 expression in SF has not been previously described. PMID: 14744088
- our findings indicate that CD99 functions occur through reorganization of cytoskeleton and identify actin and zyxin as the early signaling events driven by CD99 engagement. PMID: 15184883
- solution structure of cytoplasmic domain of human CD99 type I shows that it has a hairpin shape anchored by two flexible loops PMID: 15359120
- cyclophilin A binds CD99 and may be either a signaling mediator or a signaling regulator for CD99 PMID: 15388255
顯示更多
收起更多
-
亞細胞定位:Membrane; Single-pass type I membrane protein.
-
蛋白家族:CD99 family
-
數據庫鏈接:
Most popular with customers
-
-
YWHAB Recombinant Monoclonal Antibody
Applications: ELISA, WB, IHC, IF, FC
Species Reactivity: Human, Mouse, Rat
-
Phospho-YAP1 (S127) Recombinant Monoclonal Antibody
Applications: ELISA, WB, IHC
Species Reactivity: Human
-
-
-
-
-















