CD45 Monoclonal Antibody
-
中文名稱:CD45鼠單克隆抗體
-
貨號:CSB-MA019049A0m
-
規格:¥1320
-
圖片:
-
Western Blot
Positive WB detected in: Jurkat whole cell lysate, Raji whole cell lysate, THP-1 whole cell lysate
All lanes CD45 antibody at 1:2000
Secondary
Goat polyclonal to mouse IgG at 1/50000 dilution
Predicted band size: 148, 132, 143, 141, 139, 136 KDa
Observed band size: 180-250 KDa
Exposure time:15min -
Western Blot
Positive WB detected in: U937 whole cell lysate
All lanes CD45 antibody at 1:2000
Secondary
Goat polyclonal to mouse IgG at 1/50000 dilution
Predicted band size: 148, 132, 143, 141, 139, 136 KDa
Observed band size: 180-250 KDa
Exposure time:5min -
Western Blot
Positive WB detected in: THP-1whole cell lysate at 20μg, 10μg, 5μg, 2.5μg, 1.25μg All lanes: CD45 antibody at 1:2000
Secondary
Goat polyclonal to mouse IgG at 1/50000 dilution
Predicted band size: 148, 132, 143, 141, 139, 136 KDa
Observed band size: 180-250 KDa
Exposure time:15min -
Western Blot
Positive WB detected in: 20μg THP-1 whole cell lysate CD45 antibody at 1:2000, 1:4000, 1:8000, 1:16000, 1:32000, 1:64000, 1:128000
Secondary
Goat polyclonal to mouse IgG at 1/50000 dilution
Predicted band size: 148, 132, 143, 141, 139, 136 KDa
Observed band size: 180-250 KDa
Exposure time:15min -
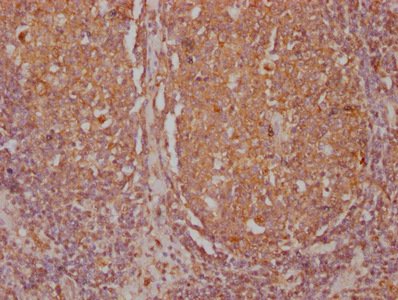
IHC image of CSB-MA019049A0m diluted at 1:500 and staining in paraffin-embedded human tonsil tissue performed on a Leica BondTM system. After dewaxing and hydration, antigen retrieval was mediated by high pressure in a citrate buffer (pH 6.0). Section was blocked with 10% normal goat serum 30min at RT. Then primary antibody (1% BSA) was incubated at 4°C overnight. The primary is detected by a Goat anti-rabbit IgG labeled by HRP and visualized using 0.05% DAB.
-
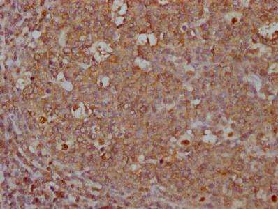
IHC image of CSB-MA019049A0m diluted at 1:500 and staining in paraffin-embedded human lymph node tissue performed on a Leica BondTM system. After dewaxing and hydration, antigen retrieval was mediated by high pressure in a citrate buffer (pH 6.0). Section was blocked with 10% normal goat serum 30min at RT. Then primary antibody (1% BSA) was incubated at 4°C overnight. The primary is detected by a Goat anti-rabbit IgG labeled by HRP and visualized using 0.05% DAB.
-
Immunofluorescence staining of Jurkat cells with CSB-MA019049A0m at 1:250, counter-stained with DAPI. The cells were incubated with the antibody overnight at 4°C. Nuclear DNA was labeled in blue with DAPI. The secondary antibody was FITC-conjugated AffiniPure Goat Anti-Mouse IgG (H+L).
-
Immunofluorescence staining of Raji cells with CSB-MA019049A0m at 1:250, counter-stained with DAPI. The cells were incubated with the antibody overnight at 4°C. Nuclear DNA was labeled in blue with DAPI. The secondary antibody was FITC-conjugated AffiniPure Goat Anti-Mouse IgG (H+L).
-
Immunofluorescence staining of U937 cells with CSB-MA019049A0m at 1:250, counter-stained with DAPI. The cells were incubated with the antibody overnight at 4°C. Nuclear DNA was labeled in blue with DAPI. The secondary antibody was FITC-conjugated AffiniPure Goat Anti-Mouse IgG (H+L).
-
Overlay histogram showing Jurkat cells stained with CSB-MA019049A0m (red line) at 1:500. The cells were incubated in 10% normal goat serum to block non-specific protein-protein interactions followed by the antibody (1µg/1*106cells) for 1 h at 4°C. The secondary antibody used was FITC-conjugated Goat Anti-Mouse IgG(H+L) at 1/100 dilution for 30min at 4°C. Isotype control antibody (green line) was mouse IgG2b (1µg/1*106cells) used under the same conditions. Acquisition of >10,000 events was performed.
-
Overlay histogram showing Raji cells stained with CSB-MA019049A0m (red line) at 1:500. The cells were incubated in 10% normal goat serum to block non-specific protein-protein interactions followed by the antibody (1µg/1*106cells) for 1 h at 4°C. The secondary antibody used was FITC-conjugated Goat Anti-Mouse IgG(H+L) at 1/100 dilution for 30min at 4°C. Isotype control antibody (green line) was mouse IgG2b (1µg/1*106cells) used under the same conditions. Acquisition of >10,000 events was performed.
-
-
其他:
產品詳情
-
產品描述:CUSABIO貨號:CSB-MA019049A0m CD45單克隆抗體是靶向白細胞共同抗原CD45的科研工具,該蛋白作為跨膜酪氨酸磷酸酶在造血細胞表面廣泛表達,通過調控淋巴細胞抗原受體信號通路參與免疫細胞活化與分化過程。本產品采用雜交瘤技術制備,經ELISA、蛋白質印跡、免疫組化、免疫熒光及流式細胞術多平臺驗證,展現出對人源樣本的優異特異性與批次穩定性,可精準識別CD45分子不同異構體。適用于免疫細胞分型、造血系統發育研究、腫瘤免疫微環境分析及炎癥性疾病機制探索等科研場景,為解析免疫細胞信號轉導、評估免疫細胞活化狀態提供可靠檢測方案。該抗體具備多實驗體系兼容特性,特別適合需要跨平臺數據對比的綜合性研究,是探索免疫調控網絡、構建疾病模型的重要工具,廣泛用于基礎醫學研究與生物制藥開發領域。關鍵詞:CD45單克隆抗體、人源免疫檢測試劑、多平臺兼容抗體、白細胞共同抗原檢測、免疫細胞標記物。
-
產品名稱:Mouse anti-Homo sapiens (Human) PTPRC Monoclonal Antibody antibody
-
Uniprot No.:
-
基因名:
-
別名:B220 antibody; CD 45 antibody; CD45 antibody; CD45 antigen antibody; CD45R antibody; GP180 antibody; L-CA antibody; LCA antibody; Leukocyte common antigen antibody; loc antibody; Ly-5 antibody; LY5 antibody; Ly5, homolog of antibody; Lyt-4 antibody; OTTHUMP00000033813 antibody; OTTHUMP00000033816 antibody; OTTHUMP00000033817 antibody; OTTHUMP00000038574 antibody; Protein tyrosine phosphatase receptor type c polypeptide antibody; Protein tyrosine phosphatase, receptor type C antibody; protein tyrosine phosphatase, receptor type, C antibody; Protein tyrosine phosphatase, receptor type, c polypeptide antibody; Ptprc antibody; PTPRC_HUMAN antibody; Receptor-type tyrosine-protein phosphatase C antibody; T200 antibody; T200 glycoprotein antibody; T200 leukocyte common antigen antibody
-
宿主:Mouse
-
反應種屬:Human
-
免疫原:Recombinant Human Receptor-type tyrosine-protein phosphatase C protein (24-575AA)
-
免疫原種屬:Homo sapiens (Human)
-
標記方式:Non-conjugated
-
克隆類型:Monoclonal Antibody
-
抗體亞型:IgG2b
-
純化方式:>95%, Protein A purified
-
克隆號:17H9D4
-
濃度:It differs from different batches. Please contact us to confirm it.
-
保存緩沖液:Preservative: 0.03% Proclin 300
Constituents: 50% Glycerol, 0.01M PBS, PH 7.4 -
產品提供形式:Liquid
-
應用范圍:ELISA, WB, IHC, IF, FC
-
推薦稀釋比:
Application Recommended Dilution WB 1:2000-1:32000 IHC 1:200-1:600 IF 1:100-1:300 FC 1:200-1:600 -
Protocols:
-
儲存條件:Upon receipt, store at -20°C or -80°C. Avoid repeated freeze.
-
貨期:Basically, we can dispatch the products out in 1-3 working days after receiving your orders. Delivery time maybe differs from different purchasing way or location, please kindly consult your local distributors for specific delivery time.
-
用途:For Research Use Only. Not for use in diagnostic or therapeutic procedures.
相關產品
靶點詳情
-
功能:Protein tyrosine-protein phosphatase required for T-cell activation through the antigen receptor. Acts as a positive regulator of T-cell coactivation upon binding to DPP4. The first PTPase domain has enzymatic activity, while the second one seems to affect the substrate specificity of the first one. Upon T-cell activation, recruits and dephosphorylates SKAP1 and FYN. Dephosphorylates LYN, and thereby modulates LYN activity.; (Microbial infection) Acts as a receptor for human cytomegalovirus protein UL11 and mediates binding of UL11 to T-cells, leading to reduced induction of tyrosine phosphorylation of multiple signaling proteins upon T-cell receptor stimulation and impaired T-cell proliferation.
-
基因功能參考文獻:
- Overall, this study reveals the heterogeneity of CD4 effector memory T cells expressing CD45RA and provides insights into T-cell responses against dengue virus and other viral pathogens. PMID: 29133794
- Five-year disease-free survival for patients with a high transcriptional expression of CD45 (n = 107) was 62.4% and for patients with a low expression (n = 53) it was 36.2% (P = 0.003). Patients with a high expression of CD45 had a better local recurrence-free survival and disease-specific survival. PMID: 29177949
- CD45 is a regulator of IL-2 synergy in the NKG2D-mediated activation of immature human NK cells PMID: 28655861
- TCR phosphorylation negatively correlates with TCR-CD45 separation. PMID: 29467364
- Our results demonstrate that the expression of CD163 and CD206 in monocytes is modulated by LPS in vitro; LPS induces CD163 expression and downregulates the spontaneously increased expression of CD206 PMID: 25914252
- Our results show that the kinetic strategy used in this study may be a simple and easy approach to assess by RT-FCM the reaction between NO and superoxide ion in whole blood monocytes..The no-wash, no-lyse staining protocol with CD45-KO and CD14-PB allows to differentiate clearly and to gate in the monocyte population in near-physiological conditions PMID: 25758468
- regulatory effect of the mannose receptor (MR) was mediated by a direct interaction with CD45 on the T cell, inhibiting its phosphatase activity, which resulted in up-regulation of CTLA-4 and the induction of T-cell tolerance. Inhibition of CD45 prevented expression of B-cell lymphoma 6 (Bcl-6), a transcriptional inhibitor that directly bound the CTLA-4 promoter and regulated its activity PMID: 27601670
- pUL11 induces IL-10 producing T cells as a result of pUL11 binding to the CD45 phosphatase on T cells. PMID: 28628650
- Expression of IL10R subunits within the leukocyte population (CD45(+) cells) was significantly higher in primary brain tumors than in metastases. PMID: 28982901
- As CD45 expression vs. SSc is routinely measured in the diagnostics of acute leukemias. PMID: 26415521
- A phosphosite within the SH2 Domain of Lck regulates its activation by CD45. A negative feedback loop that responds to signaling events tunes active Lck amounts and TCR sensitivity. PMID: 28735895
- C77G is not associated with ovarian cancer in the Norwegian population. However, it is possibly associated with a less aggressive cancer type. PMID: 28759630
- Our findings suggest that CD45 is a key regulator of BCR-signaling thresholds mediated by T-cell help PMID: 27056269
- we demonstrate for the first time the physiological existence of ct-CD45 in human plasma and show that it may be an extrinsic factor contributing to the maintenance of human T-cell quiescence. PMID: 27718235
- Our findings suggest that if w/h ratio on SSC versus CD45 plot is less than 1.6, AML may be considered, and if it is more than 1.6, ALL may be diagnosed. Using morphometric analysis of the blast cluster on SSC versus CD45, it was possible to distinguish between ALL and AML, and their subtypes. PMID: 27748273
- Use of the common leukocyte marker CD45 increases the sensitivity of the diagnosis of lymphocytic myocarditis. PMID: 28025077
- Review/Meta-analysis: Rheumatoid arthritis patients with PTPRC rs10919563 A allele show a poor response to anti-TNF therapy. PMID: 27074847
- Data suggest that CD41 and CD45 expression marked the onset of haemangioblastoma (HB) neovascularisation and the stepwise development of the angioformative period, and also the underlying therapeutic targets of anti-vascular treatment. PMID: 26468019
- PTPRC has become the most replicated genetic biomarker of response to TNF inhibitors PMID: 25896535
- CD45RO in tumor-infiltrating lymphocytes was found to be a positive prognostic factor in squamous non-small cell lung cancer. PMID: 26678911
- CD45RO+ memory T-cells produce IL-17 in patients with atherosclerosis. PMID: 26667768
- Data show the structural basis for, and the potent signaling effects of, local CD45 antigen and kinase segregation. PMID: 26998761
- a CD45+/CD19 - cell population in bone marrow aspirates correlated with the clinical outcome of patients with mantle cell lymphoma. PMID: 25739938
- High CD45 expression is associated with multiple myeloma. PMID: 26994849
- C77G T(reg) showed diminished upregulation of activation markers, lower phosphorylation of p56(lck)(Y505) and a reduced proliferative potential when stimulated with anti-TcR or anti-TcR plus CD28 mAb suggesting decreased responsiveness to activating stimuli. Data suggest that the changes in CD45 isoform combination resulting from the C77G mutation alter the responsiveness PMID: 26355564
- Findings indicate that CD45 antigen(+) and c-Kit protein(+) hematopoietic cells were more abundant in muscle than in bone marrow between embryonic 14.5 and 17.5 days. PMID: 26389592
- CD4+CD45RO+CD25-/lowCD127+: CD4+CD45RO+CD25hiCD127-/low ratio in peripheral blood indicates heart transplant recipients at risk for cardiac allograft vasculopathy. PMID: 25539460
- CD45+ cells were abundant in the stroma of physiologically immature placental villi and decreased as pregnancy progressed. PMID: 25043745
- This study demonstrated that the copy number variations of PTPRC relate to opioid dependence. PMID: 25345593
- This study did not replicate the association between PTPRC and the response to anti-TNF treatment in our Southern European population. We found that TRAF1/C5 risk RA variants potentially influence anti-TNF treatment response. PMID: 25834819
- long noncoding RNA encoded by the natural antisense gene of CD45 contributes to the expressional regulation of the CD45RO splicing variant via recruitment of DNA methyltransferase and histone modification modulators specific to the sense gene CD45 PMID: 25381328
- In T-cells, cholesterol-dependent domains function in the regulation of the Src family kinase Lck (p56lck) by sequestering Lck from its activator CD45. (Review) PMID: 25658353
- Patients with the presence of CD8- and CD45RO-positive T cells in bone marrow demonstrated better survival of gastric cancer patients than those with the absence of these cells in bone marrow. PMID: 25804232
- Low expression of CD39(+) /CD45RA(+) on regulatory T cells (Treg ) cells in type 1 diabetic children in contrast to high expression of CD101(+) /CD129(+) on Treg cells in children with coeliac disease. PMID: 25421756
- Late-outgrowth CD45 negative endothelial progenitor cells express markers associated with pluripotency and can directly express an osteogenic phenotype under bone differentiation conditions. PMID: 25531767
- SLAMF7-triggered inhibition is mediated by a mechanism involving Src kinases, CD45, and SHIP-1 that is defective in MM cells PMID: 25312647
- Phosphatase CD45 both positively and negatively regulates T cell receptor phosphorylation in reconstituted membrane protein clusters, depending on LCK activity. PMID: 25128530
- Results show that CD45 PTP activity is inhibited by galectin-1 in anaplastic large cell lymphoma cell line H-ALCL. PMID: 24589677
- Expressing CD45 promoters containing these regions and tethered to green fluorescent protein (GFP) in a primary B-cell differentiation assay and a transplantation model resulted in high levels of GFP in lymphoid, myeloid, and nucleated erythroid cells PMID: 24852660
- The rare sub-population of CD45(-)/Lin(-)/SSEA-4(+) VSEL stem cells survived after Hespan sedimentation. PMID: 24364909
- Hematopoietic cell marker CD45 is expressed in hepatic progenitor cells. PMID: 24396288
- CD45RA-Foxp3high Tregs increase in the peripheral circulation of head and neck squamous cell carcinoma patients. PMID: 24761979
- the regulation of alternative splicing in CD45 by IkappaBL was independent from the kinase activity of CLK1. PMID: 23953137
- high CD45 surface expression is associated with a poor prognosis in BCP-ALL as well as in T-ALL. PMID: 23911702
- PTPRC/CD45 is down-regulated in leukemogenic tyrosine kinase expressing cells. PMID: 23997015
- [review] Circulating CD34+/KDR+/CD45dim endothelial progenitor cells have great potential as biomarkers of vasculogenesis and endothelial repair wjen research protocols of in vitro culture and flow cytometry are included. PMID: 23171577
- Heterogeneity within the Lin(-)CD45(-) cell fraction is the likely explanation for differences in the hUCB cell populations. PMID: 23840798
- Galectin-3-induced apoptosis of Jurkat cells is regulated by both O-glycans and N-glycans on CD45. PMID: 24211831
- spatial regulation of Lck by CD45 and GM1 ganglioside determines the outcome of apoptotic response to Gal-1 and this local regulation may occur only upon intimate effector (Gal-1 expressing) cell-T-cell attachment. PMID: 24231767
- A glycosylation-dependent CD45RB epitope defines previously unacknowledged CD27-(IgM high) B cell subpopulations enriched in young children and after hematopoietic stem cell transplantation. PMID: 24211716
顯示更多
收起更多
-
相關疾?。?/div>Severe combined immunodeficiency autosomal recessive T-cell-negative/B-cell-positive/NK-cell-positive (T(-)B(+)NK(+) SCID); Multiple sclerosis (MS)亞細胞定位:Cell membrane; Single-pass type I membrane protein. Membrane raft.蛋白家族:Protein-tyrosine phosphatase family, Receptor class 1/6 subfamily組織特異性:Isoform 1: Detected in thymocytes. Isoform 2: Detected in thymocytes. Isoform 3: Detected in thymocytes. Isoform 4: Not detected in thymocytes. Isoform 5: Detected in thymocytes. Isoform 6: Not detected in thymocytes. Isoform 7: Detected in thymocytes. Is數據庫鏈接:
Most popular with customers
-
-
YWHAB Recombinant Monoclonal Antibody
Applications: ELISA, WB, IHC, IF, FC
Species Reactivity: Human, Mouse, Rat
-
Phospho-YAP1 (S127) Recombinant Monoclonal Antibody
Applications: ELISA, WB, IHC
Species Reactivity: Human
-
-
-
-
-















