CBX3 Monoclonal Antibody
-
中文名稱:CBX3 Monoclonal Antibody
-
貨號:CSB-MA954252
-
規格:¥1320
-
圖片:
-
Flow cytometric analysis of Chromobox 3 expression in HepG2 cells using Chromobox 3 antibody. Green, isotype control; red, Chromobox 3.
-
Immunocytochemical staining of HepG2 cells with Chromobox 3 antibody. Nuclei were stained blue with DAPI; Chromobox 3 was stained magenta with Alexa Fluor? 647. Images were taken using Leica stellaris 5. Protein abundance based on laser Intensity and smart gain: High. Scale bar, 20 μm.
-
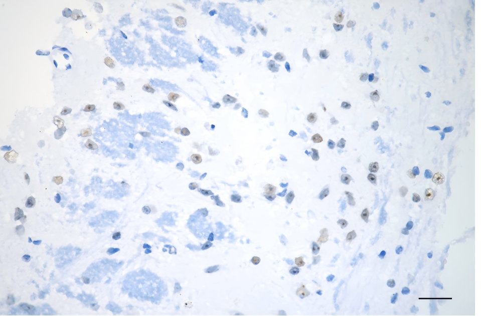
Immunohistochemistry was performed on paraffin-embedded mouse brain using chromobox 3 antibody. Antigen retrieval was done in sodium citrate buffer (pH 6.0). DAB was used for detection, with hematoxylin counterstaining. Images were acquired using a Nikon Ci-L Plus microscope (40× objective). Scale bar: 25 μm.
-
Western blotting analysis using chromobox 3 antibody. Total cell lysates (30 μg) from various cell lines were loaded and separated by SDS-PAGE. The blot was incubated with chromobox 3 antibody and HRP-conjugated goat anti-mouse secondary antibody respectively.
-
-
其他:
產品詳情
-
產品名稱:Mouse anti-Homo sapiens (Human) CBX3 Monoclonal antibody
-
Uniprot No.:
-
基因名:CBX3
-
別名:CBX3; Chromobox 3; HP1Hs-Gamma; HP1gamma; Heterochromatin Protein 1 Homolog Gamma; Chromobox Protein Homolog 3; Modifier 2 Protein; HECH; Chromobox Homolog 3 (HP1 Gamma Homolog, Drosophila); Chromobox Homolog 3 (Drosophila HP1 Gamma); Heterochromatin Protein HP1 Gamma; HP1 Gamma Homolog (Drosophila); Heterochromatin-Like Protein 1; Chromobox Homolog 3; HP1 Gamma Homolog; HP1-GAMMA; HP1 Gamma
-
宿主:Mouse
-
反應種屬:Human, Mouse, Rat
-
免疫原:Recombinant Human CBX3 protein
-
免疫原種屬:Homo sapiens (Human)
-
標記方式:Non-conjugated
-
克隆類型:Monoclonal
-
抗體亞型:Mouse IgG
-
純化方式:Affinity-chromatography
-
克隆號:5G7
-
濃度:It differs from different batches. Please contact us to confirm it.
-
保存緩沖液:PBS (pH 7.4) containing 50% glycerol, and 0.02% sodium azide.
-
產品提供形式:Liquid
-
應用范圍:ELISA, WB, FC, ICC, IHC
-
推薦稀釋比:
Application Recommended Dilution WB 1:1000-1:5000 FC 1:200-1:2000 ICC 1:100-1:1000 IHC 1:250-1:500 -
Protocols:
-
儲存條件:Upon receipt, store at -20°C or -80°C. Avoid repeated freeze.
-
貨期:Basically, we can dispatch the products out in 1-3 working days after receiving your orders. Delivery time maybe differs from different purchasing way or location, please kindly consult your local distributors for specific delivery time.
-
用途:For Research Use Only. Not for use in diagnostic or therapeutic procedures.
相關產品
靶點詳情
-
功能:Seems to be involved in transcriptional silencing in heterochromatin-like complexes. Recognizes and binds histone H3 tails methylated at 'Lys-9', leading to epigenetic repression. May contribute to the association of the heterochromatin with the inner nuclear membrane through its interaction with lamin B receptor (LBR). Involved in the formation of functional kinetochore through interaction with MIS12 complex proteins. Contributes to the conversion of local chromatin to a heterochromatin-like repressive state through H3 'Lys-9' trimethylation, mediates the recruitment of the methyltransferases SUV39H1 and/or SUV39H2 by the PER complex to the E-box elements of the circadian target genes such as PER2 itself or PER1. Mediates the recruitment of NIPBL to sites of DNA damage at double-strand breaks (DSBs).
-
基因功能參考文獻:
- c-Myc was capable of upregulating HP1gamma by directly binding to the E-box element in the first intron of HP1gamma gene, and the upregulated HP1gamma, in turn, repressed the expression of miR-451a by enhancing H3K9 methylation at the promoter region of miR-451a. PMID: 28967902
- CBX3 was overexpressed in pancreatic adenocarcinoma, which was associated with poor prognosis. CDK1 knockdown attenuated the cell cycle transition, proliferation and invasion of CBX3-overexpressing PAAD cells. PMID: 29903985
- CBX3 serves as a positive regulator of aerobic glycolysis via suppressing of the FBP1 in pancreatic cancer cells. PMID: 29678579
- HP1gamma is present in the nucleus and the cytoplasm interacting with actin, a protein complex that may exert different functions depending on its subcellular localization. PMID: 29208528
- CBX3 has a role in promoting tumor proliferation by regulating G1/S phase via p21 downregulation and associates with poor prognosis in tongue squamous cell carcinoma PMID: 29462646
- The deletion of CBX3 directly enforces the expression of CDK6 and p21. PMID: 28193906
- These data indicate that HP1-gamma is a novel epigenetic repressor of epsilon-globin gene expression. PMID: 28154185
- these data underscore the importance of IDRs 1, 2, and 3 in defining the structural and dynamic properties of HP1gamma, discoveries that have both mechanistic and potentially biomedical relevance. PMID: 26680990
- In contrast to HP1alpha, HP1gamma could not recognize H3K9me3 in extended nucleosomes. PMID: 26319017
- this study identified miR-30a as a tumor-suppressive microRNA that targets HP1gamma in vitro and in vivo to specifically suppress the growth of colorectal cancer in mouse xenograft models. PMID: 26333808
- BARD1 interacts with H3K9me2 through HP1 and plays a critical role in retention of a BRCA1/BARD1 complex at the site of DNA damage. PMID: 25634209
- CBX3 and CRABP2 expression was markedly increased in lung cancer tissues PMID: 24751108
- our data suggested that HP1gamma plays an important role in promoting non-small cell lung cancer PMID: 24981246
- compartmentalized and total HP1gamma protein expression is increased in PCa and that expression correlates with clinical outcomes better than Gleason score. PMID: 23522301
- HP1gamma affects the spontaneous differentiation potential of P19 cells, and might play major roles in the decision of cell fates in pluripotent stem cells. PMID: 23313480
- Identification of CBX3 and ABCA5 as putative biomarkers for tumor stem cells in osteosarcoma. PMID: 22870217
- Loss of CBX3 results in global RNA processing defect. PMID: 22684280
- The Cbx3 chromodomain binds with comparable affinities to all of the methylated H3K9, H1K26 and G9aK185 peptides. PMID: 22514736
- HIV-1 Vpr displaces heterochromatin protein 1-alpha and heterochromatin protein 1-gamma from chromatin, resulting in premature chromatid separation. PMID: 21875947
- we show distinct cell-type- and cancer-stage-associated patterns of key heterochromatin marks: heterochromatic adaptor proteins HP1alpha and HP1gamma, compared with the gammaH2AX marker of endogenously activated DNA damage response. PMID: 20695923
- HP1gamma localizes to telomeres in S phase, where it is required to establish/maintain cohesion PMID: 21865325
- this study reveals that human NIPBL is a novel protein recruited to DSB sites, and the recruitment is controlled by MDC1, RNF168 and HP1gamma. PMID: 21784059
- The Ca2+ channel beta4c subunit interacts with heterochromatin protein 1 gama via a PXVXL binding motif. PMID: 21220418
- HP1 gamma binds CD44 pre-mRNA inside the variant region of CD44. PMID: 21358630
- Under oxidative conditions, HP1gamma dimerized and held TIF1beta in a chromatin component and inhibited its repression ability. PMID: 20675861
- Pax3 represses transcription through a novel mechanism involving competition between corepressor KAP1 and the heterochromatin-binding protein HP1gamma PMID: 16945326
- Suv39H1, HP1gamma and histone H3Lys9 trimethylation play a major role in chromatin-mediated repression of integrated HIV-1 gene expression. PMID: 17245432
- In non-differentiated cells, transcriptional intermediary factor TIF1beta/heterochromatin protein HP1 interaction occurs only within euchromatin and involves selectively HP1beta and HP1gamma, but not HP1alpha. PMID: 17381543
- Overexpression of HP1-GAMMA in wing imaginal discs caused abnormal wings. PMID: 17575412
- present an investigation of DNA methylation and histone modification marks across the HNRPA2B1-CBX3 locus in primary peripheral blood mononuclear cells (PBMCs) to characterise the chromatin structure that underlies UCOE activity PMID: 18032920
- Heterochromatin protein gamma coordinately regulates CCN2/CTGF transcription by interacting with nuclear MMP3. PMID: 18172013
- the spatial proximities among a constellation of functionally related sites that are found within euchromatic regions of the cell nucleus including: HP1gamma, RNA polymerase II, matrin 3, and SAF-A sites PMID: 18618731
顯示更多
收起更多
-
亞細胞定位:Nucleus.
-
數據庫鏈接:
Most popular with customers
-
-
YWHAB Recombinant Monoclonal Antibody
Applications: ELISA, WB, IHC, IF, FC
Species Reactivity: Human, Mouse, Rat
-
Phospho-YAP1 (S127) Recombinant Monoclonal Antibody
Applications: ELISA, WB, IHC
Species Reactivity: Human
-
-
-
-
-















