BAX Monoclonal Antibody
-
中文名稱:BAX鼠單克隆抗體
-
貨號:CSB-MA183751
-
規格:¥1090
-
圖片:
-
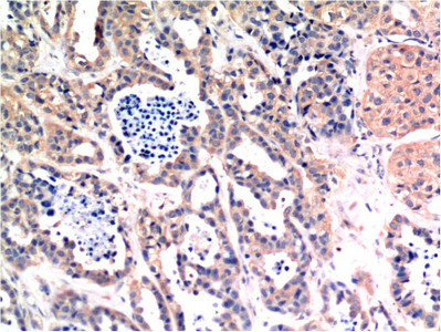
Immunohistochemical analysis of paraffin-embedded Human Breast Carcinoma Tissue using Bax Mouse mAb diluted at 1:200.
-
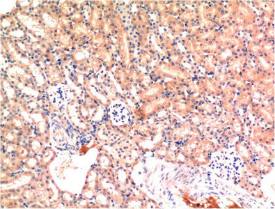
Immunohistochemical analysis of paraffin-embedded Mouse Kidney Tissue using Bax Mouse mAb diluted at 1:200.
-
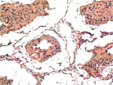
Immunohistochemical analysis of paraffin-embedded Rat Testis Tissue using Bax Mouse mAb diluted at 1:200.
-
Western blot analysis of 1) Hela Cell Lysate, 2) PC12 Cell Lysate using Bax Mouse mAb diluted at 1:1000.
-
-
其他:
產品詳情
-
產品描述:【BAX單克隆抗體CUSABIO貨號:CSB-MA183751】是針對BAX蛋白研發的高特異性科研試劑。BAX作為Bcl-2家族關鍵成員,通過調控線粒體外膜通透性介導細胞凋亡,在腫瘤發生、神經退行性疾病及發育生物學研究中具有重要價值。本產品采用雜交瘤技術制備,經嚴格驗證適用于人、小鼠、大鼠多物種樣本,可精準識別約21kDa的BAX蛋白,在蛋白質印跡(WB)中呈現清晰條帶,免疫組化(IHC)實現組織定位分析,同時滿足ELISA檢測需求。其卓越的種屬兼容性使其成為跨物種細胞凋亡機制研究的理想工具,廣泛應用于癌癥信號通路解析、藥物篩選模型構建以及神經退行性疾病動物模型驗證等科研場景。實驗數據顯示該抗體在多種組織裂解液及細胞系中均表現出穩定的結合性能,為凋亡相關蛋白互作研究、基因敲除模型驗證提供可靠支持,助力于細胞死亡機制探索及靶向治療策略開發。
-
Uniprot No.:
-
基因名:
-
別名:Apoptosis regulator BAX antibody; BAX antibody; Bax-protein antibody; BAX_HUMAN antibody; BAXA antibody; Baxdelta2G9 antibody; Baxdelta2G9omega antibody; Baxdelta2omega antibody; Bcl-2-like protein 4 antibody; BCL2 associated X protein antibody; BCL2 associated X protein omega antibody; BCL2 associated X protein transcript variant delta2 antibody; Bcl2-L-4 antibody; BCL2L4 antibody; membrane isoform alpha antibody
-
宿主:Mouse
-
反應種屬:Human,Mouse,Rat
-
免疫原:Synthetic Peptide of Bax at AA range of 30-110
-
免疫原種屬:Homo sapiens (Human)
-
標記方式:Non-conjugated
-
純化方式:The antibody was affinity-purified from mouse ascites by affinity-chromatography using specific immunogen.
-
克隆號:13H6
-
濃度:It differs from different batches. Please contact us to confirm it.
-
保存緩沖液:PBS, 50% glycerol, 0.05% Proclin 300, 0.05%BSA
-
產品提供形式:Liquid
-
應用范圍:ELISA,WB,IHC
-
推薦稀釋比:
Application Recommended Dilution WB 1:500-1:5000 IHC 1:50-1:500 -
Protocols:
-
儲存條件:Upon receipt, store at -20°C or -80°C. Avoid repeated freeze.
-
貨期:Basically, we can dispatch the products out in 1-3 working days after receiving your orders. Delivery time maybe differs from different purchasing way or location, please kindly consult your local distributors for specific delivery time.
-
用途:For Research Use Only. Not for use in diagnostic or therapeutic procedures.
相關產品
靶點詳情
-
功能:Plays a role in the mitochondrial apoptotic process. Under normal conditions, BAX is largely cytosolic via constant retrotranslocation from mitochondria to the cytosol mediated by BCL2L1/Bcl-xL, which avoids accumulation of toxic BAX levels at the mitochondrial outer membrane (MOM). Under stress conditions, undergoes a conformation change that causes translocation to the mitochondrion membrane, leading to the release of cytochrome c that then triggers apoptosis. Promotes activation of CASP3, and thereby apoptosis.
-
基因功能參考文獻:
- Pro-apoptotic protein Bax is main effector of mitochondrial permeabilization during apoptosis. Data suggest Bax N-terminal acetylation by mouse NatB (or yeast Naa20p) is involved in mitochondrial targeting of Bax. These studies used recombinant human Bax expressed in yeast cells plus cultured embryonic cells from knockout, transgenic, and chimeric mice. (NatB and Naa20p = N-terminal acetyltransferases) PMID: 29233735
- This result suggests that p53 has an important role in hemangioma endothelial cell (HemEC) apoptosis. The results of the present study additionally suggest that the propranololinduced HemEC apoptosis pathway is a mitochondrial apoptosis pathway and is regulated by p53BAX signaling. PMID: 29767244
- The results of the present study revealed that the combination of P. gingivalis and H1N1 infection in lung epithelial cells may promote the production of inflammatory cytokines and increase NO production, leading to increased levels of apoptosis in lung epithelial cells via the Bcl2/Bax/caspase3 signaling pathway. PMID: 29750299
- Bax activator BTC-8 inhibited glioblastoma (GBM) cell proliferation, arrested the cell cycle, and induced apoptosis through the induction of mitochondrial membrane permeabilization. Most importantly, BTC-8 blocked proliferation and self-renewal of glioma stem cells (GSC) and induced their apoptosis. BTC-8 was demonstrated to sensitize both GBM cells and GSCs to the alkylating agent Temozolomide. PMID: 28368610
- BAX nuclear localization was associated in vivo with the remodelling of lung parenchyma during development, tumorigenesis as well as fibrosis compared to control adult human lungs PMID: 28933587
- There is no significant association between BAX gene polymorphism and cancer susceptibility, but it probably contributes to increased adverse prognosis to cancer. PMID: 30024563
- These results suggest that chlorogenic acid (CGA)suppresses hLECs apoptosis and prevents lens opacity induced by H2O2 via Bax/Bcl2 signaling pathway. CGA may provide effective defenses against oxidative stress and, thus, has potential as treatment for a variety of diseases in clinical practice. PMID: 29207051
- Ru(II)/diphenylphosphine/pyridine-6-thiolate complexes induce S-180 cell apoptosis through intrinsic mitochondrial pathway involving inhibition of Bcl-2 and p53/Bax activation. PMID: 28795366
- helix alpha9 assists Bax activation via the dimer heterogeneity and interactions with specific MOM lipids, which eventually facilitate proteolipidic pore formation in apoptosis regulation PMID: 27381287
- VDAC2 ensures mitochondria-specific membrane association of Bax and in the absence of VDAC2 Bax localizes towards other cell compartments. Bax retrotranslocation is also regulated by nucleotides and calcium ions, suggesting a potential role of the transport of these ions through VDAC2 in Bax retrotranslocation. PMID: 27620692
- The results of the genes expression analysis revealed that indocyanine green-photodynamic therapy at concentrations 1000mug/mL, induced the significant expression of BAX in HGF cells PMID: 28438509
- Our observations point to misfolded Bax states, shedding light on the molecular mechanism of Bax mutation-elicited cancer. Most importantly, the structure of the Bax pore facilitates future study of releases cytochrome C in atomic detail PMID: 27630059
- Data suggest that regulation of pancreatic beta-cell function and survival/apoptosis involves alternative splicing modulated by key splicing regulator SRP55; SRP55-regulated alternative splicing includes modulation of function of pro-apoptotic proteins (BIM, BAX), JNK signaling, and endoplasmic reticulum stress. (SRP55 = pre-mRNA-splicing factor SRP55; BIM = BCL-2 interacting protein BIM) PMID: 29246973
- High expression of BAX is associated with colorectal cancer. PMID: 28586030
- High mitochondrial Bax apoptosis regulator protein (BAX) levels correlate with improved acute myeloid leukemia (AML) patient survival. PMID: 28420723
- parkin-dependent targeting of misregulated BAX on the mitochondria provides substantial protection against BAX apoptotic activity. PMID: 28760928
- our data present preliminary evidence that inherited abnormalities in the intrinsic apoptosis pathway, related to BAX G(-248)A and BCL2 C(-717)A SNPs, are associated with treatment response and act as independent prognostic factors in DLBCL. PMID: 27098707
- SFRP5 confers protection against oxidative stress-induced apoptosis through inhibition of beta-catenin activation and downregulation of Bax. PMID: 28834606
- The ratio of Bax/Bcl-2 was significantly enhanced by the Ginsenoside Rg3 to Paclitaxel. PMID: 28231544
- this study show that PATZ1 expression correlates positively with BAX and negatively with BCL6 and survival in human diffuse large B cell lymphomas PMID: 27494852
- YY1 promotes apoptosis via upregulating Bax transcription and subsequent activation of Bax by translocation from the cytosol to the mitochondrial membrane. PMID: 27074573
- Immunohistochemical analysis showed that STAT3, GRP78 and BAX protein levels in the combination group were significantly higher than those in STAT3 group and CDDP group (P<0.05). Exogenous STAT3 and CDDP may synergistically inhibit the xenograft tumour growth through up-regulation of BAX protein via GRP78. PMID: 27129294
- This is the first study evaluating the potential relationship between BCL2 and BAX gene polymorphisms and RRD in a Greek population, showing a significant association between BAX rs4645878 polymorphism and RRD susceptibility. This finding suggests that an apoptotic mechanism is implicated in the pathogenesis of RRD PMID: 28877516
- Heavy ion irradiation could induce p53(-/-) hepatoma cells to undergo apoptosis via E2F1/Bax/Casp3 signaling pathway. PMID: 28500630
- Bax effects were dependent on its oligomeric state. Monomeric Bax did not affect the membrane, oligomeric Bax lowered the breakthrough force of the membrane, which in the context of pore formation, implies a lowering of the line tension at the edge of the pore. PMID: 27755971
- The C-terminal helical conformation of Bax, not its primary sequence, appears to be critical for CASP8 recruitment and activation culminating in cell death. PMID: 28807790
- An autoinhibited dimeric form of BAX regulates the cytosolic BAX activation pathway. PMID: 27425408
- Although TP53 and BAX immunoreactivity levels were associated with some clinicopathological parameters of the patients, the expression of EP300, TP53 and BAX did not reveal any prognostic significance in ccRCC PMID: 28551630
- Cells expressing mitoCERT import ceramides into mitochondria and undergo Bax-dependent apoptosis. PMID: 27888218
- Results support the hypothesis that the mitochondrion-specific lipid cardiolipin functions as a first contact site for Bax during its translocation to the mitochondrial outer membrane in the onset of apoptosis. In addition, dye leakage assays revealed that different oxidized phospholipids species in the mitochondrial outer membrane-mimicking vesicles can have opposing effects on Bax pore formation. PMID: 28538152
- The substitution of proline 168 for alanine favors Bax oligomerization. PMID: 28322731
- Data show that the increased acetylation of Ku autoantigen 70kDa (Ku70) in sirtuin 6 protein (SIRT6)-depleted cells disrupt its interaction with Bax apoptosis regulator protein (Bax), which finally resulted in Bax mitochondrial translocalization. PMID: 28238784
- Rhaponticum carthamoides extracts from transformed and normal roots increased the ratio of Bax/Bcl-2 proteins and increased TP53 levels to reduce glioma cell proliferation. PMID: 27696406
- these results indicate that EVA71 infection directly impacts the mitochondrial apoptotic pathway by modulating the recruitment and activation of Bax. PMID: 28073399
- the present study demonstrated that DAPK contributed to the Hcyinduced endothelial apoptosis via modulation of Bcl2/Bax expression levels and activation of caspase 3 PMID: 27633052
- The present study evaluates the prognostic role of the p53, Bax, Bcl-2 and cyclin E immunoexpression in colon cancer. PMID: 27151692
- The high expression of the BAX gene seems to be a negative regulator of autophagy in colorectal cancer cells. The relative downregulation of autophagy-related genes was observed in colorectal cancer samples. PMID: 28035578
- High expression of BAX is associated with hepatocellular carcinoma. PMID: 27699664
- Low BAX/BCL2 mRNA is associated with laryngeal squamous cell carcinoma. PMID: 27129795
- It was concluded that ginsenoside Rh2-O induced apoptosis of HepG2 cells through activation of the lysosomal-mitochondrial apoptotic pathway involving the translocation of Bax to the lysosome. PMID: 27120618
- Findings reveal a novel mechanism by which p53 utilizes TFIIS.h to selectively promote the transcriptional elongation of the bax gene, upsurging cell death in response to severe DNA damage. PMID: 27005522
- elevated MMP-2 expression and disturbance balance of Bcl-2/BAX expressions may be associated with the development and maintenance of atrial fibrillation. PMID: 27141955
- TG2 can inhibit tumor cell apoptosis through down-regulation of Bax and prevention of release Cyt C from mitochondria into cytoplasm PMID: 25561282
- Bcl-2 and Bax expression was significantly associated with histologic grade and clinical stage, which are classic factors of poor prognosis. We suggest the use of these proteins as potential prognostic markers in STS of extremities PMID: 25906122
- The aim of this study was to determine the expression of apoptotic factors Bax, Bcl-2, and Caspase-3 in lens epithelial cells (LECs) from cataracts secondary to pars plana vitrectomy with silicone oil (SO) tamponade. PMID: 26956740
- The expression of PHF20 was associated with Bax expression. PMID: 26722404
- Deletion of chromosomal region 19q13.1-13.4 is common in hereditary non-polyposis colorectal cancer (CRC). This deletion could be the cause of the reduction in the expression of the BAX gene observed in CRC. PMID: 26228962
- miR-449 regulates the SIRT1/p53/BAX pathway, which may be its possible mechanism in modulating cell apoptosis of cisplatin-induced Acute kidney injury. PMID: 26968221
- Polymorphism of BAX and TP53 genes may be potential genetic modifiers for developing ovarian cancer. PMID: 26209050
- BimEL-Bax pro-apoptotic cascade is activated by cAMP signalling of Bordetella adenylate cyclase toxin through SHP-1 phosphatase in phagocytes. PMID: 26334669
顯示更多
收起更多
-
亞細胞定位:[Isoform Alpha]: Mitochondrion outer membrane; Single-pass membrane protein. Cytoplasm.; [Isoform Beta]: Cytoplasm.; [Isoform Gamma]: Cytoplasm.; [Isoform Delta]: Cytoplasm.
-
蛋白家族:Bcl-2 family
-
組織特異性:Expressed in a wide variety of tissues. Isoform Psi is found in glial tumors. Isoform Alpha is expressed in spleen, breast, ovary, testis, colon and brain, and at low levels in skin and lung. Isoform Sigma is expressed in spleen, breast, ovary, testis, lu
-
數據庫鏈接:
Most popular with customers
-
-
YWHAB Recombinant Monoclonal Antibody
Applications: ELISA, WB, IHC, IF, FC
Species Reactivity: Human, Mouse, Rat
-
Phospho-YAP1 (S127) Recombinant Monoclonal Antibody
Applications: ELISA, WB, IHC
Species Reactivity: Human
-
-
-
-
-















