AK3 Monoclonal Antibody
-
中文名稱:AK3 Monoclonal Antibody
-
貨號:CSB-MA932248
-
規格:¥1320
-
圖片:
-
Immunocytochemical staining of C2C12 cells with Adenylate kinase 3 antibody. Nuclei were stained blue with DAPI; Adenylate kinase 3 was stained magenta with Alexa Fluor? 647. Images were taken using Leica stellaris 5. Protein abundance based on laser Intensity and smart gain: Medium. Scale bar, 20 μm.
-
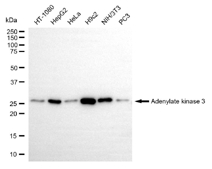
Western blotting analysis using adenylate kinase 3 antibody. Total cell lysates (30 μg) from various cell lines were loaded and separated by SDS-PAGE. The blot was incubated with adenylate kinase 3 antibody and HRP-conjugated goat anti-mouse secondary antibody respectively.
-
-
其他:
產品詳情
-
產品名稱:Mouse anti-Homo sapiens (Human) AK3 Monoclonal antibody
-
Uniprot No.:
-
基因名:AK3
-
別名:AK3; Adenylate Kinase 3; GTP:AMP Phosphotransferase AK3, Mitochondrial; AKL3L1; AK3L1; AK6; Adenylate Kinase 3 Alpha-Like 1; EC 2.7.4.10; AKL3L; Adenylate Kinase 6, Adenylate Kinase 3 Like 1; GTP:AMP Phosphotransferase, Mitochondrial; Adenylate Kinase 3 Like 1; Adenylate Kinase 6; EC 2.7.4; AK 3; FIX
-
宿主:Mouse
-
反應種屬:Human, Mouse, Rat
-
免疫原:Recombinant Human AK3 protein
-
免疫原種屬:Homo sapiens (Human)
-
標記方式:Non-conjugated
-
克隆類型:Monoclonal
-
抗體亞型:Mouse IgG2a
-
純化方式:Affinity-chromatography
-
克隆號:7G3
-
濃度:It differs from different batches. Please contact us to confirm it.
-
保存緩沖液:PBS (pH 7.4) containing 50% glycerol, and 0.02% sodium azide.
-
產品提供形式:Liquid
-
應用范圍:ELISA, WB, ICC
-
推薦稀釋比:
Application Recommended Dilution WB 1:500-1:2500 ICC 1:100-1:1000 -
Protocols:
-
儲存條件:Upon receipt, store at -20°C or -80°C. Avoid repeated freeze.
-
貨期:Basically, we can dispatch the products out in 1-3 working days after receiving your orders. Delivery time maybe differs from different purchasing way or location, please kindly consult your local distributors for specific delivery time.
-
用途:For Research Use Only. Not for use in diagnostic or therapeutic procedures.
相關產品
靶點詳情
-
功能:Involved in maintaining the homeostasis of cellular nucleotides by catalyzing the interconversion of nucleoside phosphates. Has GTP:AMP phosphotransferase and ITP:AMP phosphotransferase activities.
-
基因功能參考文獻:
- These findings suggest that AK3 and SLIT2 may be potential candidates involved in genetic susceptibility to colorectal cancer PMID: 27888432
-
亞細胞定位:Mitochondrion matrix.
-
蛋白家族:Adenylate kinase family, AK3 subfamily
-
組織特異性:Highly expressed in heart, skeletal muscle and liver, moderately expressed in pancreas and kidney, and weakly expressed in placenta, brain and lung.
-
數據庫鏈接:
Most popular with customers
-
-
YWHAB Recombinant Monoclonal Antibody
Applications: ELISA, WB, IHC, IF, FC
Species Reactivity: Human, Mouse, Rat
-
Phospho-YAP1 (S127) Recombinant Monoclonal Antibody
Applications: ELISA, WB, IHC
Species Reactivity: Human
-
-
-
-
-















